Locations:
Search IconSearch
October 29, 2020/Cancer

Case Report: 51-Year-Old with POEMS Syndrome

Plasma cell-targeted therapy helps patient with rare condition

650×450-POEMS-syndrome

Presentation

A 51-year-old woman presented to Cleveland Clinic in September 2019 for evaluation of pain and slowly progressive weakness, numbness and tingling in her wrists bilaterally and in her right foot. An extensive workup for polyneuropathy revealed a diagnosis of POEMS syndrome (Polyneuropathy, Organomegaly, Endocrinopathy, Monoclonal protein, Skin changes), a rare disorder that typically presents in the fifth to sixth decade.

Advertisement

Cleveland Clinic is a non-profit academic medical center. Advertising on our site helps support our mission. We do not endorse non-Cleveland Clinic products or services. Policy

Initial course

The patient’s symptoms began in December 2018 with tightness and pain in her back, tingling and weakness in her right leg and right foot drop. Chest and abdominal computed tomography (CT) scans, performed at another institution, revealed diffuse adenopathy and sclerotic bone lesions.

Lung cancer was ruled out with bronchoscopy, but the woman’s symptoms continued to progress, and by June, she had numbness extending to both wrists and her left lower extremity.

Magnetic resonance imaging (MRI) of the brain showed scattered white matter lesions consistent with chronic small vessel disease. A cervical spine MRI showed lesions at the C3, T1 and T3 levels consistent with metastatic disease and mild stenosis at the C3 level with no cord signal changes. A positron emission tomography scan showed FDG avidity in the bilateral axillary nodes and retroperitoneal nodes.

Treatment with prednisone was initiated at that time, but proved unsuccessful.

Subsequent work-up

By the time of her admission to Cleveland Clinic, the patient’s condition had progressed to the point that she was unable to walk and was using a wheelchair. Steroid therapy was stopped, and additional work-up was performed.

Repeat MRI of the cervical, thoracic and lumbar spine showed multiple osseous metastatic lesions and diffuse bilateral axillary and mediastinal lymph nodes. CT of the abdomen and pelvis also showed sclerotic bone lesions and intermediate-size (0.8 to 1.3 cm) iliac and para-aortic lymph nodes. Lymph node biopsy was negative.

The patient also had hyperpigmented, painless, non-itchy skin lesions bilaterally on the extensor surfaces of her lower legs, with biopsy showing granulomatous inflammation.

Advertisement

Electromyography (EMG) showed acquired demyelinating sensorimotor polyradiculoneuropathy. Lumbar puncture showed albuminocytologic dissociation.

The patient’s vascular endothelial growth factor (VEGF) level was elevated at 499. She was treated with intravenous immunoglobulin (IVIG) (2 g per day for five days) and then discharged on 40 mg per day of prednisone. She also had an IgG lambda monoclonal-protein and mildly elevated kappa and lambda serum-free light chains. Bone marrow biopsy at that time showed 5% polytypic plasma cells.

Chemotherapy and outcome

Since October 2019, the patient has been treated with lenalidomide and dexamethasone. Once she has completed a year of plasma cell-directed therapy, she will be transitioned to observation, with consideration of autologous hematopoietic cell transplantation (HCT) should her POEMS recur.

“This woman’s VEGF level has normalized and she has gone from using a wheelchair to needing almost no assistance to ambulate,” says Jack Khouri, MD, staff in the Department of Hematology and Medical Oncology at Cleveland Clinic Cancer Center. Over the past year, he has seen three cases of POEMS, but he believes there may be many more.

“POEMS is very rare and debilitating, and can be mistaken for other neurological disorders, even by neurologists,” he says. “Treatment with plasma cell-directed therapies may be successful, but it takes time for the neurological symptoms to improve and patients and clinicians should not get discouraged. Autologous HCT is the best approach to treating the disease in patients who are appropriate candidates, as it can lead to long-term remissions.”

Advertisement

An often-misdiagnosed condition

POEMS is a multisystem syndrome of unknown cause. One of the hallmarks is chronic overproduction of inflammatory cytokines. Mandatory criteria for the diagnosis are peripheral neuropathy and a monoclonal plasma cell disorder.

EMG often reveals slowing of nerve conduction, prolonged distal latency and severe attenuation of compound muscle action potentials. Elevations in VEGF are seen in approximately two-thirds of patients with POEMS. Other major criteria are osteosclerotic bone lesions and Castleman disease.

“POEMS should be suspected in patients diagnosed with chronic inflammatory demyelinating polyneuropathy that does not respond to treatments such as plasma exchange, IVIG and steroids,” says Dr. Khouri. “A paraprotein panel should be run and a comprehensive review of systems should be undertaken looking for other disease manifestations given the systemic nature of POEMS. After all, POEMS may be more common than we think.”

Referral are welcome of patients who meet the POEMS criteria to the Department of Hematology and Medical Oncology for work-up in consultation with the Department of Neurology. Says Dr. Khouri, “The key is to not dismiss POEMS even though it is uncommon. Our patient had a remarkable response to therapy, but earlier diagnosis is optimal to ensure that we can prevent the disabling effects of neuropathy.”

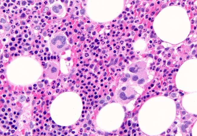
Feature image: Megakaryocytic hyperplasia and clustering reminiscent of myeloproliferative neoplasms can be seen in the bone marrow trephines of POEMS patients (H&E, 400x).

Advertisement

Related Articles

Dr. Angelini
December 24, 2025/Cancer/News & Insight
Study Analyzes Direct Oral Anticoagulants Use in Patients with Brain Metastases

Large retrospective study suggests DOACs are safe, effective alternative to low-molecular-weight heparin in complex patient population

Lobular breast cancer cells
December 22, 2025/Cancer/Innovations
Comprehensive Lobular Breast Cancer Program Addresses Often-Misunderstood Disease

Care paths and research initiatives aim to answer unmet clinical needs

Dr. Singh
December 19, 2025/Cancer/Blood Cancers
IDH1 Inhibitor Found Safe and Effective in Rare Precursor to Blood Malignancies

Study shows high rate of hematologic responses, low rate of disease progression

Shahzad Raza, MD
December 18, 2025/Cancer/Blood Cancers
Talquetamab Provides Lifesaving Bridge to CAR T-Cell Therapy

Bispecific antibody bridging therapy deepens durability of BCMA CAR T-cell therapy without overlapping toxicities in patients with relapsed/refractory multiple myeloma

Dr. Raza
December 16, 2025/Cancer/Blood Cancers
Dual Bispecifics May Redefine Management of Extramedullary Myeloma

Phase 2 study brings pivotal advances in treatment efficacy and safety for the most challenging-to-treat population

CAR T-cell therapy
December 15, 2025/Cancer/Blood Cancers
Case Study: Patient Remains Disease Free Five Years After Allogenic CAR T-Cell Therapy

Patient with quadruple refractory multiple myeloma achieves complete response with cell therapy

J. Joseph Melenhorst, PhD
December 12, 2025/Cancer/Blood Cancers
Researchers Identify Predictors of Response to CAR T-Cell Therapy in B-Cell Non-Hodgkin’s Lymphoma

Distinct baseline immune profiles can predict response and resistance to different types of CAR-T cells.

church bus tour
December 9, 2025/Cancer/News & Insight
Novel Community Campaign Increases Venous Thromboembolism Awareness

National Blood Clot Alliance collaborates with faith-based organizations on first-of-its-kind church bus tour

Ad