Locations:
Search IconSearch

Provocative Testing & Coronary Artery Spasms

Provocative Ergonovine Testing Can Rule Out or Confirm the Diagnosis

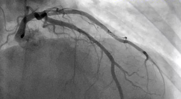
Artery-690×380

When catheterization reveals normal coronary arteries in a patient complaining of angina, the tendency is to suspect a noncardiac condition. But if the patient continues to have angina, the diagnosis of coronary artery (CA) spasm should be considered.

Advertisement

Cleveland Clinic is a non-profit academic medical center. Advertising on our site helps support our mission. We do not endorse non-Cleveland Clinic products or services. Policy

CA spasm producing angina in the absence of coronary artery disease (CAD) is a rare condition with certain characteristics that differentiate it from angina caused by ischemia. CA spasm angina predominantly occurs at rest, often awakening the patient at night or in the early morning. These episodes are transient, generally persisting for less than 15 minutes, and may cause syncope. Episodes can occur a few times yearly, a few times daily or infrequently.

The etiology of CA spasm is unknown. Most patients are aged 40 to 60. It is uncommon after age 70. Men and women are affected equally. In women, it may occur with menstruation. It is often associated with spasms in other arteries, causing conditions such as migraine or Reynaud’s syndrome.

Diagnostic dilemmas

Certain changes seen on EKG during an episode of spasm, most often ST elevation, can help make the diagnosis. The elevation generally resolves spontaneously in 10 to 15 minutes or in 1 to 2 minutes with nitroglycerin. Other patients may have ST-segment depression, ventricular tachycardia, ventricular fibrillation, complete heart block or asystole.

A Holter monitor makes it possible to capture some episodes of CA spasm. However, the quixotic nature of these spasms makes EKG documentation difficult to obtain.

Provocative testing

At Cleveland Clinic, we consider provocative ergonovine testing the definitive test for diagnosing this discreet syndrome. We have used it regularly 1972 and have found it to be effective in ruling out or confirming CA spasm. We consider the test safe: In our experience, no patient has died or developed a myocardial infarction during the test.

Advertisement

Ergonovine is a smooth muscle constrictor used primarily to stop postpartum bleeding. When given in the coronaries, ergonovine constricts the smooth muscle cells in the epithelium and triggers angina.

Provocative ergonomine testing is conducted in the cath lab. We first image the coronaries to ensure they are free of obstructive CAD. A bolus of ergonovine is then injected intravenously. Most patients will respond within 5 minutes. We take a complete EKG every minute, as changes in the EKG sometimes appear prior to angina. As soon as angina occurs, we reimage the coronaries. The patient is then given a syringe of premixed nitroglycerine or verapamil to reverse the spasm. The EKG should immediately normalize.

Less effective treatments

Numerous methods of testing for CA spasm have been tried over the years. Hyperventilation can trigger CA spasm, as can putting the patient’s hand in ice water for five minutes—an inhumane test that was popular in the 1970s. Neither was very sensitive, but occasionally worked.

Some institutions conduct provocative testing with acetocholine. However, this agent tends to elicit CA spasm in patients with CAD. We have seen patients who underwent provocative acetocholine testing and were diagnosed with CA spasm. When we repeated the test with ergonomine, the results were negative.

Stress testing is usually not helpful in making a diagnosis, unless the angina occurs with exertion. This scenario is the exception, rather than the rule.

Treating CA spasm

Once CA spasm is confirmed, calcium blockers can be used to control the spasms. A low dose is effective in some patients. Others require larger doses or even multiple calcium blockers.

Advertisement

Advertisement

Related Articles

side-by-side heart scans with color markings

ICE-Guided Anatomic Approach to Cardioneuroablation Abolishes Vasovagal Syncope Recurrences

Intracardiac echo mapping of para-septal fat pads provides fast, accurate and radiation-free targeting

illustrated robot arms tying a suture over a heart valve during an operation

New CME Offering Aims to Advance and Enhance Robotic Cardiac and Thoracic Surgery

Join us in Cleveland July 17 for a practical, first-of-kind course

bulging aorta in stylized illustration of female adult body

New Data Suggest GLP-1 Receptor Agonists Slow Abdominal Aortic Aneurysm Progression

Robust signal from observational study raises prospect of a long-sought medical therapy

exposed heart valve during open heart surgery, with podcast button overlay

Aortic Valve Repair for Aortic Regurgitation (Podcast)

Expert advice on repair vs. replacement, timing of surgery in asymptomatic cases and much more

Woman getting her blood pressure checked by a physician

Tonlamarsen Lowers Angiotensinogen in Patients With Uncontrolled Hypertension

Blood pressure decreases equally in study groups receiving monthly or one-time doses

stylized scientific illustration of hormone receptors

Dual-Agonist Incretin Therapy Outshines GLP-1 Agonist in Broad Cardiorenal Outcomes

Post hoc analysis of SURPASS-CVOT trial has implications for future cardiovascular outcome trials

gene sequence display with superimposed EKG tracing and podcast icon

Inherited Arrhythmias and Genetic Cardiomyopathies: Evaluation and Management Essentials (Podcast)

Experts discuss advances in precision medicine, the value of collaborative care and more

colorful imaging model of a heart valve procedure

Cleveland Clinic Partners With DASI Simulations to Advance AI Guidance in TAVR

Collaboration includes clinical validation of predictive modeling tool, development of second-generation tool

Ad