Locations:
Search IconSearch

Susac Syndrome May Be Associated with Gastrointestinal Compromise

Autoimmune disease may have effects beyond brain, retina & inner ear

17-DDI-3791-Susac-CQD

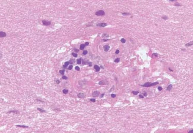
Susac syndrome (SuS) is a rare autoimmune disease that affects the microvasculature of the brain, retina and inner ear. The immunopathogenesis is thought to be similar to that of juvenile dermatomyositis (JDM), an autoimmune occlusive microvascular endotheliopathy that causes microinfarctions in the muscle, skin and gastrointestinal tract.

Advertisement

Cleveland Clinic is a non-profit academic medical center. Advertising on our site helps support our mission. We do not endorse non-Cleveland Clinic products or services. Policy

Clinical symptoms of SuS include uni or bilateral visual field defects, hypoacusia, headache, confusion, memory impairment, changes in behavior, ataxia, bladder dysfunction, vertigo and dysarthria. “Snowball” lesions are typically found in the corpus collosum on brain magnetic resonance imaging (MRI).

Rare, but also misdiagnosed

According to Robert Rennebohm, MD, of Cleveland Clinic’s Susac Syndrome Consultation Service, SuS primarily affects people between the ages of 18 and 40 (although 11 percent of cases have been reported in children and adolescents), with a ratio of 2 females to 1 male. “A little over 300 cases have been reported in the medical literature, but the prevalence of SuS is believed to be much higher largely due to the propensity for misdiagnosis,” he says.

Although the natural history of the disease is that it eventually resolves and remits, it can cause irreversible damage. Hence, early diagnosis and treatment are essential to improved outcomes and quality of life. Few clinicians are familiar with the disease, but the symptoms overlap with other syndromes commonly seen in rheumatology practice. As such, Dr. Rennebohm suggests that SuS should be considered in the differential diagnosis of any patient who presents with one or more of the following unexplained signs and symptoms:

  • Encephalopathy
  • Retinal vasculopathy
  • Hearing loss

“In general, SuS is treatable and responds to aggressive immunosuppression with corticosteroids, intravenous (IV) immunoglobulin and an immunomodulator such as mycophenolate or cyclophosphamide,” he reports.

Advertisement

An unusual case presentation

In a recent Letter to the Editor published in the Journal of Neurological Sciences, Dr. Rennebohm and his colleagues present a case of a 52-year-old man who developed scotoma in his right eye, and one week later was admitted to the hospital with confusion, irritability, disinhibition, deafness in his left ear, vertigo, constipation and urinary incontinence.

The patient was diagnosed with SuS based on his symptoms and MRI results, and prescribed immunosuppressive therapy. He improved, but was readmitted to the hospital a month later with confusion, irritability, abdominal pain and intestinal hemorrhaging. He had no signs of cardiac involvement. He went on to go into hypovolemic shock, which necessitated a total colectomy. He was discharged with azathioprine and steroids and had two subclinical relapses necessitating IV steroids and maintenance therapy with mycophenolate mofetil before recovering.

“Although SuS primarily affects the brain, retina and inner ear, it’s possible that sometimes it will affect other organs, including muscle or the GI tract as we observed with this man,” says Dr. Rennebohm. “Although we need to see more cases before conclusions can be drawn, the purpose of the Letter to the Editor is to alert physicians to the possibly that SuS patients they are managing who also have GI issues could possibly have SuS-related microvasculopathy in their GI tract that warrants escalation of immunosuppressive therapy.” Alternatively, he notes, patients may develop GI infections or colitis as a result of the aggressive immunosuppressive therapy prescribed to manage SuS.

Advertisement

Related Articles

Dr. Gorgun in operating room
May 20, 2026/Digestive/Research

Cleveland Clinic Colorectal Surgeons Develop a New Standardized Endoscopic Grading System for Rectal Cancer Response and Organ Preservation

Cleveland Clinic researchers developed an objective tool to assess response following total neoadjuvant therapy.

Patient speaking with physicians
May 11, 2026/Digestive/Research

Adherence to Lifestyle Changes Peaks One Month After Bariatric Surgery, Study Finds

Patients may benefit from booster appointments, psychological support

Dr. Aminian in OR
May 7, 2026/Digestive/Research

Metabolic Surgery May Reverse MASH Cirrhosis, Paired Biopsy Study Suggests

Research demonstrates cirrhosis regression in one-third of patients, with higher rates using alternative assessment

Dr. Regueiro speaking with patient
May 6, 2026/Digestive/Research

Patients With IBD Who Undergo Colon Cancer Surgery Have Higher Blood Clot Risk

Elevated risk persists for more than a year after surgery, plus more insights from the first study to quantify risk specifically for CRC surgery

Pharmacist filling order
May 5, 2026/Digestive/Research

Fenofibrate-UDCA Combination Therapy Safe and Effective for Primary Biliary Cholangitis

Large, retrospective study indicates improved outcomes after one and five years of treatment

Dr. Bhatt with clinician
April 28, 2026/Digestive/Innovation

Endorobotics Collaborative: A New Era in Gastrointestinal Procedures

Multidisciplinary collaboration is fueling breakthroughs in endoscopic and surgical technology

Dr. Kwan and Dr. Hashimoto performing Laparoscopic Liver Transplant Surgery
April 9, 2026/Digestive/Transplant

Transforming Liver Transplantation at Cleveland Clinic

A surge in transplants, advanced surgical techniques and multidisciplinary collaboration has helped shape and expand the Liver Transplant Program

Patient holding injectable
March 26, 2026/Digestive/Research

New Analysis Examines Long-Term Outcomes of GLP-1 Therapies in Type 1 Diabetes

Retrospective analysis finds lower mortality rates, fewer hospital visits among patients with Type 1 diabetes using GLP-1 Therapies

Ad