Locations:
Search IconSearch
January 16, 2018/Pulmonary

CNS Granulomata in Common Variable Immunodeficiency

A better understanding and a hope for better outcomes

18-RHE-1022-Hajj-Ali-Hero-Image-650x450pxl

By Rula Hajj-Ali, MD, Daniel Culver, DO, and James Fernandez, MD, PhD

Advertisement

Cleveland Clinic is a non-profit academic medical center. Advertising on our site helps support our mission. We do not endorse non-Cleveland Clinic products or services. Policy

Although common variable immunodeficiency (CVID) typically involves hypogammaglobulinemia and recurrent infections, between 8 and 22 percent of patients also develop granulomatous disease. We have very little data regarding the presence of granulomatous disease in the central nervous system (CNS), and in this case series, we’ve tried to pinpoint clinicopathologic features that may prompt further study.

Patient cohort & characteristics

CVID, the second most common primary immunodeficiency syndrome, is characterized by marked decreases in immunoglobulin concentration and frequently decreased B and T lymphocytes. We examined 19 patients with CVID and CNS manifestations — four Cleveland Clinic patients and 15 from a comprehensive search of the medical literature.

CNS manifestations included:

  • Seizures (31.6 percent)
  • Headaches (21 percent)
  • Vision loss (15.7 percent)
  • Decreased cognition (10.5 percent)
  • Focal weakness (5.2 percent)
  • Nystagmus (5.2 percent)
  • Ataxia (5.2 percent)
  • Coma (5.2 percent)
  • Polydipsia (5.2 percent)

The patients were mostly white and female and were also likely to have lung involvement. Recurrent infections were common, and several concurrent autoimmune diseases were documented. Interestingly, five patients had a family history of autoimmune diseases.

Of the 12 patients with brain pathologic findings, 50 percent had angiocentric granulomas. The mean age of CNS granulomatous disease diagnosis (21.5 years) was lower than that of CVID diagnosis (24 years). An earlier report showed that a diagnosis of granulomatous disease prior to the CVID diagnosis is common (41 percent) and that delayed diagnosis of CVID may worsen prognosis significantly.

Advertisement

Treatments and outcomes

The table below describes the variation in treatment offered to patients, as current guidelines are limited and based on case reports. Determining the optimal treatment regimen for granulomas in CVID is a path of inquiry ripe for clinical research.

A better understanding, a hope for better outcomes

While granulomatous diseases have been associated with CVID, this first-of-its-kind case series raises awareness of the association between granulomatous diseases in the central nervous system in association of CVID. These data add to the diagnostic landscape of CNS granulomatous disease and provide an overview of the varying treatments currently in use for these rare manifestations of an already rare disease.

Dr. Hajj-Ali is Associate Director of the Center for Vasculitis Care and Research in the Department of Rheumatic and Immunologic Diseases. Dr. Culver is Director of the Sarcoidosis and Interstitial Lung Disease Program in the Respiratory Institute. Dr. Fernandez is staff in the Department of Allergy and Clinical Immunology.

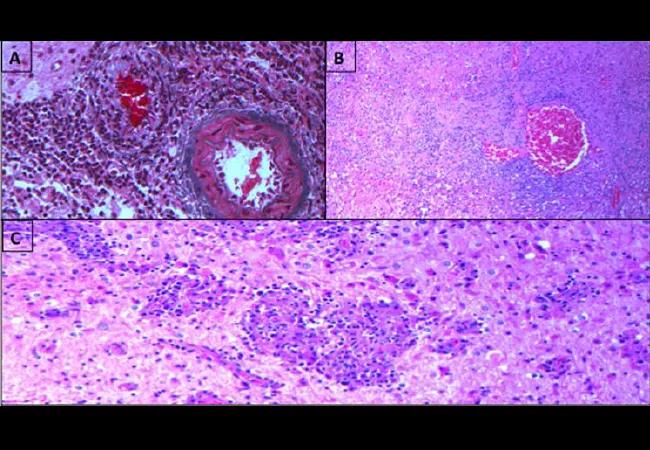
Feature image: Demonstrates two blood vessels in the meninges (movatstain) — one vessel is normal and the other is overrun by inflammatory cells; (B) a large area of geographic necrosis with nuclear debris; the adjacent are as reveal a predominantly chronic inflammatory cellular infiltrate; and (C) a non-necrotizing granuloma. Image and caption republished with permission from Elsevier.

Advertisement

Related Articles

James Stoller, MD
April 28, 2026/Pulmonary/Podcast

Where Are They? Patients with Alpha-1 Antitrypsin Deficiency (Podcast)

Exploring the true prevalence of AATD among Americans and why so many remain undetected

Patient getting a CT scan
April 24, 2026/Pulmonary/News & Insight

Lung Nodule Management at Cleveland Clinic: Insights From a Growing Program

Rapid growth and collaboration have advanced the Lung Nodule Program, but patient engagement barriers persist

Controls for a robotic-assisted bronchoscopy platform
March 23, 2026/Pulmonary/News & Insight

Robotic-Assisted Bronchoscopy for Peripheral Lung Lesions: What Matters Beyond Navigation

A physician's perspective on confirmation imaging, diagnostic confidence and choosing the right robotic platform for patients

portraits of Joy Ussavarungsi, MD, and Les Tolle, MD
March 16, 2026/Pulmonary/Podcast

Understanding LAM: Insights Into This Rare Lung Disease (Podcast)

A look into recent developments in the diagnosis of LAM and its clinical presentation

Peter Mazzone, MD, MPH; Angel Coz-Yataco, MD; and Matt Siuba, DO
February 11, 2026/Pulmonary/Podcast

2025 CHEST Conference Highlights (Podcast)

Takeaways from the most recent annual meeting centered around clinical advances, AI integration and professional development

patient coughing
January 23, 2026/Pulmonary/News & Insight

Redefining Bronchiectasis Management: Multidisciplinary Teams and Modern Therapies at Cleveland Clinic Florida

Recent breakthroughs have brought attention to a previously overlooked condition

physician checking patient breathing
January 20, 2026/Pulmonary/Podcast

Treating CTEPH: Surgery, Medication or Balloon Angioplasty? (Podcast)

A review of treatment options for patients who may not qualify for surgery

Patient injecting herself
January 12, 2026/Pulmonary/News & Insight

Advances in COPD Treatment: The Role of Biologics

Looking at the real-world impact and the future pipeline of targeted therapies

Ad