Locations:
Search IconSearch
September 16, 2019/Cancer

High-Dose Neoadjuvant Radiosurgery for Brain Metastases Appears Safe, Effective in Early Results from Phase 1/2 Study

Dose-escalation trial shows local control with low toxicity, low leptomeningeal recurrence

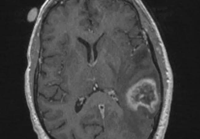
19-NEU-3925-stereotactic-radiosurgery-brain-mets-650×450

Preoperative (neoadjuvant) stereotactic radiosurgery (SRS) with dose escalation followed by surgical resection for brain metastases > 2 cm yielded local control comparable to that with postoperative SRS or whole-brain radiation therapy (WBRT) — with the benefits of acceptable acute toxicity and a low incidence of leptomeningeal disease.

Advertisement

Cleveland Clinic is a non-profit academic medical center. Advertising on our site helps support our mission. We do not endorse non-Cleveland Clinic products or services. Policy

These preliminary findings from a Cleveland Clinic prospective phase 1/2 clinical trial were presented Sept. 15 at the 2019 annual meeting of the American Society for Radiation Oncology (ASTRO).

“So far we have seen excellent results with radiation doses higher than the current SRS standards,” says lead investigator Erin Murphy, MD, a radiation oncologist in Cleveland Clinic’s Rose Ella Burkhardt Brain Tumor and Neuro-Oncology Center. “If findings continue to be positive, we anticipate that new standards can be adopted to safely save more patients from recurring disease.”

In search of an optimal strategy

For brain metastases larger than 2 cm, Dr. Murphy explains, single-session SRS alone results in local control of only about half the lesions, making surgery an important part of the therapeutic strategy. While WBRT following surgery is effective against recurrence, its use can be associated with significant acute and late toxicity, including a high rate of cognitive decline. Surgical resection followed by SRS to the resection cavity has its own disadvantages, including a significant risk that patients will develop leptomeningeal disease.

Preoperative SRS has been found to offer a number of advantages. Targeting metastases is technically easier before they have been removed, obviating the need to radiate a margin of normal tissue and thereby potentially reducing toxicity. Additionally, systemic chemotherapy can be started earlier, and the risks of leptomeningeal disease and cancer cell spillage may be lower because the tumor margin is “sterilized” preoperatively.

Advertisement

Initial experience with neoadjuvant SRS reported by other investigators (Int J Radiat Oncol Biol Phys. 2014;88:899-906) has been promising. Using a median radiation dose of 14 Gy (range, 11.6-18 Gy) — a 20% reduction from the Radiation Therapy Oncology Group (RTOG) standard — on 47 patients, these researchers reported a good safety profile, but larger lesions were still more likely to recur.

Study design: Dose escalation

The Cleveland Clinic study is the first to use a dose-escalation strategy starting with the RTOG standard for each tumor size. Two phases are being conducted consecutively:

  • Phase 1 is designed to determine the maximum tolerated neoadjuvant SRS dose. The radiosurgery dose is escalated in 3-Gy increments. At each dose level, two patients are followed for four months. If no acute dose-limiting toxicities are observed, the dose is escalated for the next patients.
  • Phase 2 aims to determine local control of brain metastases treated at the maximum tolerated dose of neoadjuvant SRS followed by surgical resection performed within two weeks.

Preliminary results

A total of 27 adults have been enrolled thus far. Their neoadjuvant SRS doses are detailed in the table below.

At mean follow-up of 13.1 months, outcomes were as follows:

  • Local control was 94% at six months and 72% at 12 months.
  • Distant control was 39% at six months and 26% at 12 months.
  • Overall survival was 81% at six months and 54% at 12 months.
  • Two patients had local recurrence, one of whom developed focal leptomeningeal disease five months after SRS.
  • Four patients (15%) had acute grade 1/2 toxicity (fatigue or headache).
  • No grade 3/4 toxicity was observed.

Advertisement

Continuing dose escalation and assessment

The study is continuing to accrue patients for the phase 1 component to determine the maximum tolerated SRS dose levels. Patients will be followed for up to three years to assess for survival, recurrence, radiation necrosis and other possible late effects of neoadjuvant SRS followed by surgical resection. The researchers expect to publish preliminary results next year.

Dr. Murphy says she would like to see the team’s findings replicated in a larger multicenter trial. She anticipates that if results continue to demonstrate safety and efficacy of dose-escalated neoadjuvant SRS, it will become the new standard of care for treating patients with large brain metastases.

“Patients with cancer are living longer thanks to immunotherapy and targeted therapies,” she adds. “It makes sense to use an aggressive local control approach for their brain metastases.”

Advertisement

Related Articles

Dr. Angelini
December 24, 2025/Cancer/News & Insight
Study Analyzes Direct Oral Anticoagulants Use in Patients with Brain Metastases

Large retrospective study suggests DOACs are safe, effective alternative to low-molecular-weight heparin in complex patient population

Lobular breast cancer cells
December 22, 2025/Cancer/Innovations
Comprehensive Lobular Breast Cancer Program Addresses Often-Misunderstood Disease

Care paths and research initiatives aim to answer unmet clinical needs

Dr. Singh
December 19, 2025/Cancer/Blood Cancers
IDH1 Inhibitor Found Safe and Effective in Rare Precursor to Blood Malignancies

Study shows high rate of hematologic responses, low rate of disease progression

Shahzad Raza, MD
December 18, 2025/Cancer/Blood Cancers
Talquetamab Provides Lifesaving Bridge to CAR T-Cell Therapy

Bispecific antibody bridging therapy deepens durability of BCMA CAR T-cell therapy without overlapping toxicities in patients with relapsed/refractory multiple myeloma

Dr. Raza
December 16, 2025/Cancer/Blood Cancers
Dual Bispecifics May Redefine Management of Extramedullary Myeloma

Phase 2 study brings pivotal advances in treatment efficacy and safety for the most challenging-to-treat population

CAR T-cell therapy
December 15, 2025/Cancer/Blood Cancers
Case Study: Patient Remains Disease Free Five Years After Allogenic CAR T-Cell Therapy

Patient with quadruple refractory multiple myeloma achieves complete response with cell therapy

J. Joseph Melenhorst, PhD
December 12, 2025/Cancer/Blood Cancers
Researchers Identify Predictors of Response to CAR T-Cell Therapy in B-Cell Non-Hodgkin’s Lymphoma

Distinct baseline immune profiles can predict response and resistance to different types of CAR-T cells.

church bus tour
December 9, 2025/Cancer/News & Insight
Novel Community Campaign Increases Venous Thromboembolism Awareness

National Blood Clot Alliance collaborates with faith-based organizations on first-of-its-kind church bus tour

Ad