Locations:
Search IconSearch

Identifying Genetic Causes of Chronic Kidney Disease Improves Diagnosis and Treatment

Understanding of genetic kidney disease has significantly increased in past five years

23-URL-3522111 CQD 650×450

Compared to the most common causes of chronic kidney disease (CKD), including hypertension, diabetes mellitus and glomerular disease, genetic CKD is “quite rare,” says Shane Bobart, MD. “I think part of the reason it’s rare is because people are still getting used to there being genetic testing for it,” he says. “It’s too early to really see a big difference, but as this testing becomes more widely available, I’m sure we’ll see the actual diagnoses increase.”

Advertisement

Cleveland Clinic is a non-profit academic medical center. Advertising on our site helps support our mission. We do not endorse non-Cleveland Clinic products or services. Policy

Along with five other Cleveland Clinic researchers, Dr. Bobart collaborated on a review of the current landscape of genetic CKD that was published in the International Journal of Nephrology and Renovascular Disease. With two team members in Florida and the remaining four in Ohio, “we were able to collaborate on this across campuses, something we often do with patients as well,” says Dr. Bobart. “The best part of this work is the collaboration.”

The review delves into presentation, risks and potential treatment options for genetic kidney disease, focusing on cystic kidney disease, glomerular disease with genetic associations, congenital anomalies of the kidney and urinary tract (CAKUT), autosomal dominant tubulointerstitial kidney disease (ADTKD), and inherited nephrolithiasis and nephrocalcinosis.

“Now that we understand more about these genetic causes and have more availability to test, it’s important to be aware that there are multiple genetically-related conditions that can contribute to kidney disease,” Dr. Bobart says.

Genetic testing is transforming the diagnostic landscape of CKD

Genetic analysis is making the diagnosis of genetic disorders easier than ever before, says Xiangling Wang, MD, PhD, founding director of Cleveland Clinic’s renal genetics program and a collaborator on the review. For example, to diagnose Gitelman syndrome, “we relied on multiple blood and urine studies, which often require a 24-hour urine collection,” Dr. Wang says. “Now we only need a buccal swab or blood draw for DNA collection to make the diagnosis.”

Genetic testing has also improved diagnostic accuracy. “We’ve started to realize that in some of these patients with chronic kidney disease that was attributed to age or hypertension could possibly have a genetic cause,” says Dr. Bobart. “Genetic testing is also helpful when the diagnosis is in question.”

Advertisement

Dr. Wang and her team’s recent 3-year review of their daily practice at Cleveland Clinic’s renal genetics clinic also supports this. They found that 69% of patients with positive genetic findings received a new diagnosis and/or had a change in their diagnosis. “Genetic testing provided early diagnosis through a familiar variant test, which made early monitoring and treatment possible to slow the progression of chronic kidney disease,” Dr. Wang says.

Identifying genetic causes can change CKD management

More accurate diagnoses lead to improved disease management, says Dr. Wang. In her renal genetics clinic review, nearly 40% of patients with positive genetic findings had a significant change in the management of their disease.

In glomerular disease, for example, genetic testing can be especially valuable with regard to immunosuppression, according to Dr. Bobart. Hereditary nephrotic syndrome, for example, often doesn’t respond to immunosuppression, so genetic analysis can save the patient exposure to this therapy. On the other hand, some genetic causes of glomerular conditions “actually require ongoing treatment with immunosuppression because otherwise they will relapse,” Dr. Bobart says.

Another benefit of genetic testing is that it pinpoints other health issues. “Patients with polycystic kidney disease might have brain aneurysms or cysts in their liver or other non-kidney issues that need to be checked,” says Dr. Bobart. “Ensuring you have a good genetic diagnosis helps in the care of these patients.”

Genetic testing can also be beneficial for transplantation purposes. For patients with genetic kidney disease, Dr. Bobart says screening family members who may be donors is important to ensure they’re not at risk. Along with donor selection, Dr. Wang notes that genetic testing results also help post-transplant management and family counseling.

Advertisement

Genetic testing may positively impact many CKD patients

Because an earlier diagnosis of inheritable disorders has the potential to positively impact patient care, the main purpose of this review is to increase clinicians’ awareness of these genetic forms of CKD, says Dr. Bobart. “I really want us all to be more aware of these conditions so we can look for the clinical clues to know when to test and to be aware of what resources are available to test and even to treat,” he says.

Genetic testing is much more affordable and accessible than it used to be, says Dr. Wang, noting that the majority of patients seen at the Cleveland Clinic renal genetics clinic are covered by insurance. “Genetic testing can improve the diagnosis and management of CKD, and I would encourage clinicians to refer their patients to a renal genetics clinic if they suspect a genetic link,” she says.

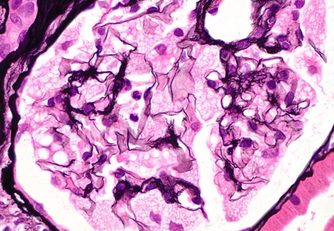
Featured image: Renal biopsy from a patient with Fabry disease, confirmed after renal biopsy with genetic testing. The biopsy showed glomeruli with “foamy” podocytes due to the accumulation of lipid material within the cytoplasm. Jones methenamine silver x600 magnification. Copyright © 2023 Sawaf et al. This work is published and licensed by Dove Medical Press Limited. The image and its description were reprinted with permission under the Creative Commons Attribution – Non Commercial (unported, v3.0) License (http://creativecommons.org/licenses/by-nc/3.0/)

Advertisement

Related Articles

Cleveland Clinic Weston Hospital
Early Success for Florida’s Only Designated Bronchiectasis and NTM Care Center

Cleveland Clinic Weston Hospital’s collaborative model elevates care for complex lung diseases

Robotic-Assisted Broncoscopy screenshot
Precision and Progress: Robotic-Assisted Bronchoscopy Reshapes Early Lung Cancer Management

Interventional pulmonologists at Cleveland Clinic Indian River Hospital use robotic technology to reach small peripheral lung nodules

Localized Prostate Cancer Management with High-Intensity Focused Ultrasound
Localized Prostate Cancer Management with High-Intensity Focused Ultrasound

Trained in the use of multiple focal therapies for prostate cancer, Dr. Jamil Syed recommends HIFU for certain patients with intermediate-risk prostate cancer, especially individuals with small, well-defined tumors localized to the lateral and posterior regions of the gland.

Ovarian Cancer
A Cautious Evolution in the Surgical Management of Advanced Ovarian Cancer

Cleveland Clinic Weston Hospital is actively recruiting patients for an international, multicenter, phase III study comparing MIS versus open interval cytoreduction following neoadjuvant chemotherapy in patients with stage IIIC-IV epithelial ovarian cancer.

Alberto Pieretti, MD
Expanding Minimally Invasive Options for Early-Stage Testicular Cancer

Urologic oncologist with Cleveland Clinic in Florida performs robotic-assisted retroperitoneal lymph node dissection.

Colorectal Cancer Diagnosis Sequence has Surprising Impact on Outcomes
Colorectal Cancer Diagnosis Sequence has Surprising Impact on Outcomes

Cleveland Clinic researchers in Florida identify unexpected survival benefit

Noninvasive, radiation-free imaging supports treat-to-target IBD care
Point-of-Care Intestinal Ultrasound for Inflammatory Bowel Disease

Noninvasive, radiation-free imaging supports treat-to-target IBD care

Cleveland Clinic in Florida transplant specialists perform advanced surgical approach for living kidney donation
Widening the Donor Pool with Robotic-Assisted Donor Nephrectomy

Cleveland Clinic in Florida transplant specialists perform advanced surgical approach for living kidney donation

Ad