Locations:
Search IconSearch
February 21, 2020/Neurosciences/Research

CT Angiography Analysis Reveals Clues to Ischemic Stroke Risk and Causes

Results from calcification volume quantification of intracranial and extracranial arteries

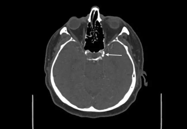
Calcification (arrow) in the intracranial carotid artery of a patient with acute ischemic stroke

CT angiography-derived severity of calcium burden of the intracranial and extracranial arteries in ischemic stroke patients correlates with older age, smoking and large artery atherosclerosis. And calcification volumes can help differentiate ischemic stroke mechanisms in patients younger than age 65. So conclude two studies of a Cleveland Clinic stroke registry using automated quantitative analysis of vascular calcification volumes presented at the 2020 International Stroke Conference this week.

Advertisement

Cleveland Clinic is a non-profit academic medical center. Advertising on our site helps support our mission. We do not endorse non-Cleveland Clinic products or services. Policy

“CT angiography of the head and neck for acute stroke is now routine in many emergency departments, providing a wealth of potentially useful information for clinical and research purposes,” says stroke neurologist Ken Uchino, MD, Head of Research and Education in Cleveland Clinic’s Cerebrovascular Center and principal investigator of both studies. “Systematic automated quantification of images of the aorta and neck and brain arteries reveals important clues about the causes and risk factors of ischemic stroke.”

CT angiography underused for characterizing ischemic stroke

While calcification of the aorta and coronary arteries has been studied extensively relative to the risk of cardiac events, vascular calcification measures of head and neck vessels are underutilized to evaluate ischemic stroke risk, although such measures are now frequently obtained from patients with suspected stroke. In addition, the significance of vascular calcifications in relation to stroke mechanisms is not well understood.

These investigations used available CT angiography images from Cleveland Clinic’s recent experience with patients with acute ischemic stroke. Researchers employed machine learning techniques to measure the volume of vascular calcification in the images in order to identify risk factors for ischemic stroke and glean information on underlying stroke mechanisms.

Drawing on a prospective registry

Both studies assessed CT angiograms from 388 consecutive patients (55% male; mean age, 66.6 years) managed for acute ischemic stroke in 2018 from a prospective Cleveland Clinic registry. Calcification volumes in the intracranial, extracranial and aortic arteries were measured by automatic artery and calcification segmentation methods and analyzed using deep-learning U-net model and region-growing algorithms. Severe vascular calcification was defined as the upper quartile calcification volume (> 812 mm3).

Advertisement

Study 1: Calcification correlates

One investigation found that the presence of severe calcification was independently and significantly increased in the following groups:

  • Older patients (prevalence of severe calcification increased in an age-dependent manner from 6.8% in patients < 60 years to 45.9% in patients > 80 years; P < 0.001)
  • Smokers (odds ratio [OR] = 3.43; 95% CI, 1.83-6.42; P < 0.001)
  • Patients with large artery atherosclerosis (OR = 4.26; 95% CI, 1.96-9.25; P < 0.001)

Older age was the most significant risk factor identified, with mean calcification volumes ranging from 225 mm3 in patients younger than 60 years to 1,213 mm3 for patients 80 years or older.

Study 2: Defining stroke subtypes

The second study analyzed the relationship between calcification volumes and stroke subtypes, using the TOAST classification. Among the 388 registry patients in the analysis, the overall prevalence of atherosclerotic calcification was 95.9%. Stroke subtypes among these patients broke down as follows:

  • 4% had cardioembolism
  • 5% had large artery atherosclerosis
  • 3% had small vessel occlusion
  • 8% had another or undetermined subtype

In patients younger than age 65 years, calcification volumes correlated significantly with stroke subtype, with large artery atherosclerosis having significantly higher mean volume (567 mm3) relative to cardioembolism (213 mm3; P = 0.021) other/undetermined (180 mm3; P < 0.001) and small vessel occlusion (176 mm3; P = 0.014). In patients older than 65, calcification volume differences between subtypes were not statistically significant.

Advertisement

Conclusion: CT angiography yields useful insights in ischemic stroke

According to Dr. Uchino, the studies yield the following take-home messages:

  • In ischemic stroke, severe atherosclerotic calcium burden is significantly higher in older patients, smokers and patients with large artery atherosclerosis.
  • In younger patients, atherosclerotic calcium burden may differentiate large artery atherosclerosis from other stroke etiologies.

“CT angiography is currently used for ischemic stroke patients mainly to find severe stenosis as a cause of stroke and to target occlusion for acute reperfusion therapy,” he observes. “But with automated quantification of vascular calcification, we may be able to classify the cause of stroke more easily and gain important insights into underlying mechanisms.”

Image at top shows calcification (arrow) in the intracranial carotid artery of a patient with acute ischemic stroke.

Advertisement

Related Articles

two brain scans side by side with a yellow circle on the left scan
March 13, 2026/Neurosciences/Epilepsy

SEEG Linked With More Complete Resection and Greater Seizure Freedom in MOGHE Subtype of Epilepsy

Insights from one of the first studies of invasive monitoring in the rare form of focal cortical dysplasia

histopathology image with pink background and arrow pointing to round cell

New Insights on α-Synuclein Pathology and Clinical Phenotypes in Dementia With Lewy Bodies

The disease’s neuropathologic heterogeneity holds clues to refining diagnosis and prognosis

MRI of the brain against black background

Advanced Neuroimaging and Clinical Perseverance Make Sense of a 68-Year-Old’s Progressive Symptoms

A case study in pairing imaging acumen with subspecialty expertise to yield answers and symptom relief

brain scan with colored dots over a dark gray region
March 3, 2026/Neurosciences/Epilepsy

Decoding the Insula: New Semiological Insights for Localizing Seizure Onset

Guidance from the largest cohort of SEEG-confirmed insular epilepsy patients reported to date

Photo of Dr. Ford
March 2, 2026/Neurosciences/Podcast

Neuroethics Conversations: Guidelines for Care (Podcast)

Ethical guidance provides guardrails so medical advances benefit patients

red blood cells floating in a blood vessel
February 27, 2026/Neurosciences/Cerebrovascular

Factor XIa Inhibition Drives Down Recurrent Stroke Risk Without Rise in Bleeding

OCEANIC-STROKE results represent long-sought advance in secondary stroke prevention

two brightly colored brain scans side by side
February 25, 2026/Neurosciences/Epilepsy

MR Fingerprinting Shows Potential to Reshape FCD Detection and Epileptogenicity Mapping

Two studies from Cleveland Clinic may help advance the technology toward broader clinical use

MRI scan of the side of a human head
February 20, 2026/Neurosciences/Cerebrovascular

Susac Syndrome: Insights on Rare Endotheliopathy From Largest Single-Center Cohort to Date

Distinct MRI signature includes lesions beyond the corpus callosum, features predictive of vision and hearing loss

Ad