Locations:
Search IconSearch
September 17, 2019/Pediatrics/News & Insights

For Vapers, Frightening Health Consequences Are Quickly Emerging

Public health concerns mount as number of deaths increases

650×450-Vaping

By Ellen Rome, MD, MPH, and Humberto Choi, MD

Advertisement

Cleveland Clinic is a non-profit academic medical center. Advertising on our site helps support our mission. We do not endorse non-Cleveland Clinic products or services. Policy

A young woman came to us at Cleveland Clinic reporting breathing difficulties. A CT scan showed inflammation in both lungs, but no signs of cancer or other sicknesses that typically cause this kind of inflammation. Only when the woman – in her twenties – explained that she had just started vaping two months ago did doctors ascertain the source of her problem.

E-cigarettes and vaping are relatively new, but many have thought of them as a harmless alternative to smoking. However, recent reports of serious respiratory illnesses likely tied to vaping are popping up across the country, including young patients being put on mechanical ventilators. The Centers for Disease Control and Prevention (CDC) reports approximately 380 possible cases across 36 states, including Ohio, and the U.S. Virgin Islands, as of September 12, 2019. Seven deaths have been reported, through September 17, 2019, potentially linked to vaping. Unfortunately, we have seen similar cases here at Cleveland Clinic.

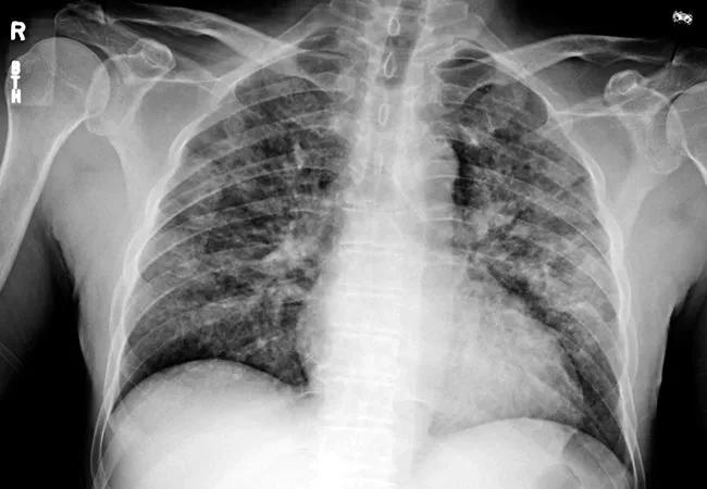
Chest images from a patient who ended up in the ICU with suspected lung injury related to vaping.

Chest images from a patient who ended up in the ICU with suspected lung injury related to vaping. The images show improvement of lung opacities with no specific treatment other than avoiding exposure while in the hospital.

As these illnesses come into focus, physicians are quickly trying to learn more, as still little is known of the long-term effects of vaping. Along with these serious cases, anecdotal evidence reveals some of their impact mirrors that of traditional cigarettes.

In addition, the youngest group of vapers today have brains that are still developing incredibly critical functions such as self-control, emotional maturation and reward processing. Strong data suggests that nicotine exposure during teen years disrupts the brain’s neurotransmitter systems, leading to long-term changes in cognitive development and even decreased memory capacity.

Advertisement

Youth addiction

The “vaping” craze surrounding e-cigarette use is also leading people, especially our youth, down the path of nicotine addiction.

As we know from decades of cultural experience and scientific research, once you begin using any nicotine-based product, it can be extremely difficult to stop. Our society is at a critical moment in which we need to learn from our history with cigarettes and act accordingly, especially with our future generations in mind.

Some may think vaping is a harmless alternative to smoking; however, the most popular e-cigarette on the market contains almost three times the nicotine as a single pack of cigarettes. Unlike cigarettes, which are smoked one-by-one and have a clear starting and stopping point, e-cigarettes can be puffed on continuously – further adding to the danger of addiction.

While it is true that these devices do not contain tar and tobacco, the high nicotine content gives an alarming number of teens and young adults their first exposure to the highly addictive stimulant. According to the 2018 National Youth Tobacco Survey, 78% of high schoolers have used e-cigarettes, as have 48% of middle schoolers.

To make matters worse, thanks to the alluring marketing tactics and flavors of e-cigarettes, America’s youth are – in many cases, unwittingly – becoming addicted to nicotine. A study from the Truth Initiative found that only about one-third of 12th graders are aware that Juuls, a brand of e-cigarettes, contain nicotine – and many are outraged when they learn the truth.

Advertisement

The CDC and the Food and Drug Administration (FDA) are now urging people who vape not to buy products off the street, and seek medical attention if they have trouble breathing or chest pain. But it is clear to us, as medical professionals, that our society must tackle the e-cigarette epidemic in the same manner as we have successfully fought traditional cigarettes.

Tips to tackle vaping

Many of the tactics that worked so effectively on cigarettes can, and should, be deployed in the fight against vaping. Here are five proven avenues to cessation that should be enacted immediately:

  • Take away the taste. E-cigarettes appeal to many young users because they come in popular flavors, such as mint, mango and menthol. Our team at Cleveland Clinic supports the FDA’s proposed guidelines in this area, which call for most flavors to be eliminated; the proposal is currently under review.
  • Raise prices. Severely taxing the sale of cigarettes has helped reduce usage throughout the nation. Similar pricing initiatives could have the same impact on e-cigarettes.
  • Raise the legal age. Kudos to Ohio for recently becoming the fourth U.S. state to raise the age to 21 for legally purchasing cigarettes, cigars, vaping devices and other tobacco products. We encourage other states, as well as the federal government, to include vaping products as they consider adopting similar Tobacco 21 statutes.
  • Magnify via marketing. Mass media marketing campaigns are effective in spreading the word about a product as dangerous as e-cigarettes. Teens will listen, especially if fellow teens are involved in the creative process.
  • Help users stop. As with most addictions, nicotine can be tough to kick on your own. Cleveland Clinic and other facilities around the United States have established smoking cessation programs that can be easily modified for any nuances related to e-cigarettes.

Advertisement

We can, and should, put a stop to the rapid increase in vaping and e-cigarette use. Our society battled the scourge of cigarette smoking for decades. Let us take what we learned and apply it to this new form of nicotine addiction.

The lives of millions of teens and young adults may depend on us taking action … now.

Ellen Rome, MD, MPH, serves as Head of the Center for Adolescent Medicine at Cleveland Clinic Children’s Hospital and as a Professor of Pediatrics at the Cleveland Clinic Lerner College of Medicine of Case Western Reserve University. Humberto Choi, MD is a pulmonologist at Cleveland Clinic specializing in thoracic oncology and a medical intensivist. He is the Medical Director of the Respiratory Institute Smoking Cessation Program.

Advertisement

Related Articles

Dr. Weaver smiling with a pediatric patient
February 6, 2026/Pediatrics/Urology
Rethinking the Diagnostic Paradigm for Pediatric Kidney Abnormalities

One pediatric urologist’s quest to improve the status quo

MRI images of pediatric kidney disease
February 3, 2026/Pediatrics/Nephrology
Developing Imaging Biomarkers for Autosomal Recessive Polycystic Kidney Disease

Overcoming barriers to implementing clinical trials

gene editing
Novel Gene Editing Therapy for Sickle Cell Disease Continues to Free Patients From Severe Vaso-Occlusive Pain

Interim results of RUBY study also indicate improved physical function and quality of life

Wearable sensor on the chest of a baby
January 22, 2026/Pediatrics/Cardiology
Wearable Sensors May Enable Everyday Monitoring of Congenital Heart Disease

Innovative hardware and AI algorithms aim to detect cardiovascular decline sooner

Dr. Guelfand in the operating room
January 14, 2026/Pediatrics
First Magnetic-Assisted Cholecystectomy Performed in US for a Pediatric Patient

The benefits of this emerging surgical technology

Child and caregiver hands on top of hospital bed
Palliative Care Addresses an Unmet Need in Sickle Cell Disease

Integrated care model reduces length of stay, improves outpatient pain management

Dr. Tretter in conversation with Dr. Najm
December 4, 2025/Pediatrics/Cardiac Surgery
A New Era: What 3D Visualization of the Conduction System Means for Specialists

A closer look at the impact on procedures and patient outcomes

Dr. Najm with colorful 3D-printed heart model
November 24, 2025/Pediatrics/Cardiac Surgery
Ventricular Switch: What We’ve Learned From Our Growing Patient Cohort

Experts advise thorough assessment of right ventricle and reinforcement of tricuspid valve

Ad