Locations:
Search IconSearch

New Option Offers Hope for Inoperable CTEPH

Cleveland Clinic performs its first balloon pulmonary angioplasties for the condition

New Option Offers Hope for Inoperable CTEPH

Left untreated, chronic thromboembolic pulmonary hypertension (CTEPH) can lead to right heart failure and death. As detailed in this recent Consult QD post, pulmonary thromboendarterectomy is the gold-standard curative treatment.

Advertisement

Cleveland Clinic is a non-profit academic medical center. Advertising on our site helps support our mission. We do not endorse non-Cleveland Clinic products or services. Policy

However, surgery isn’t an option for up to 40 percent of patients with CTEPH, either because their clots are too distal to be accessible for surgical repair or because they have too many comorbidities to safely undergo surgery.

Reviving balloon angioplastly for the lungs

For those patients, Cleveland Clinic specialists are exploring a new option: balloon pulmonary angioplasty (BPA), a catheter-based procedure well established in its application for treating blocked vessels in the heart and brain.

Although use of balloon angioplasty in the lungs dates back 25 years, it was abandoned due to high rates of severe complications, including perforation and reperfusion edema.

Today, several centers in Japan have revived the procedure using modern equipment and techniques, with far better results.

From Japan to the U.S.

In the fall of 2015, Cleveland Clinic pulmonologist Gustavo Heresi-Davila, MD, and interventional cardiologist Mehdi Shishehbor, DO, MPH, PhD, traveled to Japan for two weeks to learn the technique. And in early 2016 — with the help of Japanese specialists who came to Cleveland to assist — Dr. Shishehbor performed Cleveland Clinic’s first BPA procedures on two patients with CTEPH, both of whom were deemed inoperable due to distal disease.

Dr. Shishehbor treated each patient “without any complications and with immediate radiographic improvement in pulmonary blood flow,” says Dr. Heresi-Davila, Medical Director of the Pulmonary Thromboendarterectomy Program in Cleveland Clinic’s Department of Pulmonary and Critical Care Medicine.

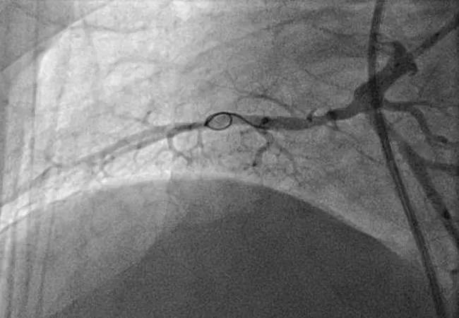
Shish-CTEPH-Image-Inset-1

Shish-CTEPH-Image-Inset-2

Shish-CTEPH-Image-Inset-3

Figures. Imaging studies of the right lower lobe in one of the Cleveland Clinic CTEPH cases before (top), during (middle) and after (bottom) successful balloon pulmonary angioplasty.

Advertisement

Thus far, Cleveland Clinic is one of only three U.S. centers that have performed the procedure. “As we emerge as one of the premier CTEPH centers in the country, BPA is a welcome addition to the treatment armamentarium for patients with inoperable disease,” Dr. Heresi-Davila says.

A complementary procedure

Dr. Shishehbor, Director of Endovascular Services at Cleveland Clinic, foresees expansion of BPA here and at other specialized centers in the U.S. for the treatment of inoperable CTEPH, but he doesn’t see it replacing surgery for patients who can be treated surgically.

While BPA is far less invasive than thromboendarterectomy and patients are awake during the procedure, the arteries in the lung are very fragile and vulnerable to perforation. Moreover, to minimize the risk for reperfusion injury, BPA must be performed in two to five separate sessions — a process some patients might find difficult.
“Even if we get to the point of being very comfortable with angioplasty and can prove it’s safe and efficacious, I still think it won’t replace surgery,” Dr. Shishehbor explains. “I believe it will always be complementary.”

Nonetheless, the Japanese experience has been quite positive: Among approximately 700 BPA procedures conducted in about 170 patients over five years, there’s been zero mortality, a complication rate of less than 2 percent and only one case of restenosis. “They’re doing a very good job and have improved significantly over time,” Dr. Shishehbor observes.

Comprehensive offerings can optimize CTEPH outcomes

Deciding whether a patient with CTEPH is a surgical candidate isn’t always straightforward, as it requires specific expertise — cardiothoracic surgeon, pulmonologist, interventionalist, cardiologist and others — in concert with patient and family input to determine whether the correct path is medical therapy, surgery, angioplasty or a combination.

Advertisement

“At Cleveland Clinic we take a global and multidisciplinary approach,” Dr. Shishehbor notes. “These patients are vetted very carefully.”

Another key to success, he says, is limiting procedures to a small number of surgeons, interventionalists and institutions in order to build expertise. For now, Dr. Shishehbor is the only person performing BPA at Cleveland Clinic, while a single surgeon performs the thromboendarterectomies.

“We are fortunate to have a high volume of patients, which allows us to do a lot of procedures and concentrate them so that surgeons become experts,” Dr. Shishehbor says. “We hope that by mastering these techniques in specialized centers of excellence, we can provide an alternative that supplements surgical options for these patients.”

Advertisement

Related Articles

side-by-side heart scans with color markings

ICE-Guided Anatomic Approach to Cardioneuroablation Abolishes Vasovagal Syncope Recurrences

Intracardiac echo mapping of para-septal fat pads provides fast, accurate and radiation-free targeting

illustrated robot arms tying a suture over a heart valve during an operation

New CME Offering Aims to Advance and Enhance Robotic Cardiac and Thoracic Surgery

Join us in Cleveland July 17 for a practical, first-of-kind course

bulging aorta in stylized illustration of female adult body

New Data Suggest GLP-1 Receptor Agonists Slow Abdominal Aortic Aneurysm Progression

Robust signal from observational study raises prospect of a long-sought medical therapy

exposed heart valve during open heart surgery, with podcast button overlay

Aortic Valve Repair for Aortic Regurgitation (Podcast)

Expert advice on repair vs. replacement, timing of surgery in asymptomatic cases and much more

Woman getting her blood pressure checked by a physician

Tonlamarsen Lowers Angiotensinogen in Patients With Uncontrolled Hypertension

Blood pressure decreases equally in study groups receiving monthly or one-time doses

stylized scientific illustration of hormone receptors

Dual-Agonist Incretin Therapy Outshines GLP-1 Agonist in Broad Cardiorenal Outcomes

Post hoc analysis of SURPASS-CVOT trial has implications for future cardiovascular outcome trials

gene sequence display with superimposed EKG tracing and podcast icon

Inherited Arrhythmias and Genetic Cardiomyopathies: Evaluation and Management Essentials (Podcast)

Experts discuss advances in precision medicine, the value of collaborative care and more

colorful imaging model of a heart valve procedure

Cleveland Clinic Partners With DASI Simulations to Advance AI Guidance in TAVR

Collaboration includes clinical validation of predictive modeling tool, development of second-generation tool

Ad