Locations:
Search IconSearch

Novel Mandibular Osteoradionecrosis Staging System and Treatment Algorithm Reflects a Changing Landscape

New system brings much-needed clarity and guidance for moderate to advanced-stage disease classifications

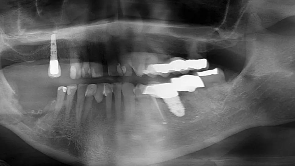
Imaging of Stage IV (“borderline”) preoperative panorex

As treatment for mandibular osteoradionecrosis (MORN) has become more nuanced, an equally nuanced classification system to guide treatment and management decisions has become essential, according to new research from Cleveland Clinic. The paper, “Managing Mandibular Osteoradionecrosis,” which was recently published in Otolaryngology–Head and Neck Surgery, proposes a new staging system and treatment algorithm that better reflects current treatment perspectives.

Advertisement

Cleveland Clinic is a non-profit academic medical center. Advertising on our site helps support our mission. We do not endorse non-Cleveland Clinic products or services. Policy

While the current staging for MORN has been adequate for distinguishing between early- and late-stage disease, substantial variability exists among moderate-stage classifications. With the introduction of the anterolateral thigh fascia rescue flap (ALTFL) technique, patients with moderate- to severe-stage disease now have a viable low-morbidity surgical treatment option. This surgical innovation, along with lacking evidence supporting hyperbaric oxygen therapy (HBOT) and the promise of medical treatments such as pentoxyphylline and tocopherol, have changed MORN management approaches and highlighted the need for a staging system that differentiates between the various phases of ORN progression.

“There are currently at least nine different classification systems used for MORN,” says Michael Fritz, MD, Director of the Section of Facial Plastic and Reconstructive Surgery and lead author of the paper. “The Notani system is generally used most commonly, and while it’s effective and helpful for surgical planning, it has some limitations related to late-stage disease grading.”

He explains, “For example, a patient with an intact mandible with ORN depth marginally past the inferior alveolar nerve canal (IANC) would be considered a Notani III. Another patient with a fracture with a concomitant orocutaneous fistula and widespread bone destruction would also be considered a Notani III. Both patients are given the same grade, but those cases present drastically different surgical and management challenges.”

Advertisement

An evolving landscape

Because of the variance in how MORN presents and can affect patients, its management also has quite a bit of inconsistency. Early- and moderate-stage MORN have traditionally been managed conservatively and employed a “watch and wait” approach. This was based on the belief that manipulation of the site would lead to additional trauma and make the site even worse. However, taking such a conservative approach can lead to disease progression because of delayed treatment. Furthermore, with the changing ORN definitions and guidance, cases where monitoring may have previously been considered appropriate may not be correct anymore.

This is also true with hyperbaric oxygen therapy (HBOT), once considered a fixture of MORN treatments. Initially, it was theorized that HBOT could help stop the progression of MORN by increasing local tissue oxygen tension, thereby improving healing. However, the limitations associated with the initial studies around HBOT (small cohorts, methodology and nonreplicability) have been subsequently amplified by new studies challenging the efficacy of the therapy.

Earlier this year, the American Society of Clinical Oncology (ASCO) published a multidisciplinary-joint guideline with the Multinational Association of Supportive Care in Cancer‐International Society of Oral Oncology on managing ORN and the role of HBOT. Their consensus was that there is no conclusive evidence to support HBOT combined with surgery or as a single modality.

Read more: A Call for More Interdisciplinary and Preventive Care in New Osteoradionecrosis Guidelines

Advertisement

“Even before the ASCO statement on HBOT, there were several red flags associated with the therapy,” says Dr. Fritz. “There is a huge cost associated with the treatment, both from a monetary standpoint — it’s very expensive — and from a time perspective since the process takes up a significant portion of a patient’s time with travel and the treatment itself, typically lasting 30 days. There are also several potential unpleasant side effects associated with HBOT, including ocular, middle ear, pulmonary and neurologic complications.”

Presently, the most promising non-surgical methods of treating early-stage MORN are antibiotics combined with pentoxifylline and tocopherol. The drugs behave synergistically to improve blood flow, mitigate free radicals and prevent fibrosis (dual-use known as PENTO).

“Medical management with PENTO has been shown to have some positive effects with patients who still have early-stage MORN,” explains Dr. Fritz. “The drugs are generally tolerated well, and they’re inexpensive, but there isn’t much evidence that they provide any benefit in later-stage cases. Other doctors may include clodronate along with PENTO, but that drug is much more expensive, and it isn’t tolerated well by patients. Plus, there isn’t much compelling evidence that including clodronate is actually beneficial.”

Treating later-stage cases

For patients with later-stage MORN, surgery is typically the recommended option. While osteocutaneous free flaps have long been the gold standard, Dr. Fritz notes that the ALTFL rescue flap offers much lower morbidity and is an extremely effective option for moderate and many cases of late-stage disease. At Cleveland Clinic, segmental resection and bony free flap reconstruction are therefore reserved for only the most advanced cases — typically those with full-thickness fractures and widespread bone destruction.

Advertisement

“Osteocutaneous free flaps have demonstrated high efficacy at halting MORN in higher-stage cases, but they are associated with high complication rates, and the recovery process is lengthy and involved,” says Dr. Fritz. “Patients typically stay at the hospital for a week to 10 days following surgery. Many patients require tracheotomies and tube feeds for a portion of the hospital stay, followed by a liquid diet for quite some time. The magnitude of the surgery performed in an irradiated field is reflected in high complication rates and potential long-term functional impairment in terms of speech, swallowing and facial movement and contour. While this treatment is very effective for advanced disease, it comes at a high cost from both a financial and patient morbidity standpoint.”

Conversely, the ALTFL rescue flap has a much lower complication rate (1.9%), and typical hospital stay (mean 2.7 days), with many patients leaving within one to two days after surgery. Patients can resume activities and an oral diet immediately after surgery.

Learn more about the technique: Anterolateral Thigh Fascia Lata Rescue Flap for Osteoradionecrosis – Changing Paradigms of Treatment

“Besides myself, we have three other surgeons at Cleveland Clinic who routinely perform the ALTFL rescue flap surgery — Brandon Prendes, MD; Sara Liu, MD; and Peter Ciolek, MD. Surgeries are routinely performed by two of us simultaneously.This dramatically shortens the patient’s time under anesthesia and gives us the best surgical outcomes.”

Advertisement

From our surgical perspective, we believe the technique just has so many benefits,” explains Dr. Fritz. “The morbidity to patients is less than a skin graft and it is highly effective in halting moderate and moderately advanced stage disease [Stage II through IV in the new grading system] with control rates above 95 percent. The flap is thin and pliable, so it’s very easy to manipulate to fill bone defects after debridement and provide coverage for bone grafts which are often added for later-stage disease to supplement healing.”

Dr Fritz also notes that the flap can be inset precisely with minimal bulk so the patient’s breathing and oral function are unaffected. The long vascular pedicle also allows it to be tunneled to a hidden incision used to access donor vessels (typically a facelift incision in front of the ear).

He continues, “Since the flap is rich in blood supply, it ensures robust oxygenation to the underlying bone and graft tissue to promote healing, and it also allows for effective antibiotic delivery to eliminate any remaining infection. Most importantly though is that in addition to its low morbidity, the minimal access technique used with the ALTFL does not preclude or impact future osteocutaneous reconstruction should it become necessary; it burns zero bridges in care.”

Proposed staging and treatment algorithm

Considering the paradigm shift away from HBOT and towards PENTO and the demonstrated efficacy of the ALTFL flap, the authors believed a new grading system and corresponding treatment algorithm for MORN that better reflects current knowledge was needed. Their five-stage system, which was adapted from the Notani grading system, both describes disease severity and directs management. The authors also made the staging system figure and treatment table (see below) complementary by matching the colors of each stage in both to make grading and treatments easier to identify.“

One of the biggest challenges associated with MORN treatment is that presurgical assessment doesn’t always reflect the ultimate extent of the disease after debridement,” says Dr. Fritz. “This is something that we wanted to address with our grading system. The distinguishing criteria are estimated based on clinical and radiographic findings pre-surgery, but definitive staging is not assigned until after debridement and the defect characteristics are confirmed. This means that when treating a patient who was preclinically assessed as Stage IV, for example, you need to be prepared to treat them as Stage V should postdebridement indicate more extensive damage. For that reason, all our patients undergoing surgery are consented to procedures one stage above their presurgical classification.”

Illustration of the grading system
A visual summary of the proposed grading system. Illustration credit: Ava Rose Fritz
Proposed treatment algorithm
The above flow chart is a visual representation of the treatment algorithm for each proposed stage. The colors of each stage mimic the colors in the illustration above so that these tools can be used in tandem to guide surgical decision-making. Illustration credit: Mary Reagan

In the proposed system, Stage I characterizes MORN > 2.5 cm and is confined to the dentoalveolar unit (DAU). It is treated conservatively with a three-month course of PENTO, and antibiotics can be used if the site appears objectively infected. Symptomatic patients or those with obvious signs of necrosis are offered debridement and counseled on the potential risks of upstaging and treatment escalation.

Stage II includes MORN that extends beyond the DAU but above the IANC or is confined to the DAU, but the area of exposed bone is > 2.5 cm. These patients are treated similarly to Stage I, but they are also treated with debridement with sequestrectomy and/or saucerization. Stage II patients are also offered the ALTFL flap and counseled about the lower effectiveness of PENTO for them. Patients who defer the rescue flap for conservative management are closely monitored with clinical and radiographic observation every three months.

Stages III and IV are similar, although in Stage III, the MORN extends beyond the IANC but spares > 1 cm height of lingual and buccal cortex. In Stage IV, the MORN extends beyond the IANC, and ≤ 1 cm height of lingual and/or buccal cortex remains with an otherwise intact mandible. Both stages are treated with the rescue flap procedure. Patients who present clinically as Stage IV are classified as “borderline” rescue flap candidates and are consented for both rescue flap and potential segmental resection and osteocutaneous free flap reconstruction. Patients who meet Stage IV criteria intraoperatively and postdebridement are managed with ALTFL rescue flap and concurrent iliac crest cancellous bone grafting. The latter allows for bone growth and preserves the strength and integrity of the mandible.

“Interestingly, in our published experience, those borderline candidates in Stage IV who receive supplemental bone grafting have done just as well as early-stage candidates who receive rescue flaps,” says Dr. Fritz. “This underscores the efficacy of transplanting a robust blood supply and treatment with culture-directed antibiotics.”

In Stage V cases, there is full-thickness mandibular bone involvement and pathologic fractures are present. These patients are treated with segmental resection and reconstruction. Of note, the authors forgo the still common use of PENTO in Stages III to V due to evidence of a poor response in more advanced disease.

“There have been significant advances in MORN treatments, and we believe that the current staging systems have become outdated with these paradigm shifts,” says Dr. Fritz. “Our proposed staging system reflects this new landscape by omitting HBOT, treating early-stage cases with PENTO and incorporating the ALTFL rescue flap to treat moderate and late-stage disease and halt progression — all of which are reflective of a modern, evidence-based understanding of MORN treatment. We believe this staging system and treatment algorithm will bring much-needed clarity and direction to cases ranging between early and the most advanced disease where accurate description and decision making has been hampered by existing guidelines.”

Related Articles

Reviewing dental scans
July 8, 2024/Cancer

A Call for More Interdisciplinary and Preventive Care in New Osteoradionecrosis Guidelines

New guidelines offer insight into emerging therapies, dental issues and more

Clinician examining patient's jaw

Management of TMJ Disorders (Podcast)

Expert advocates for a stepladder approach

Osteoradionecrosis

ATLFL Rescue Flap Surgery Is Highly Successful at Halting Mandibular Osteoradionecrosis Progression With Low Associated Morbidity

Newly published research shows how the surgical technique is a game-changer for patients with ORN

23-CNR-4044608-CQD-Hero-2-650×450 Dr Shah 2
July 26, 2023/Cancer/Research

Reducing Radiation-Related Toxicities with CPAP Machines

An innovative approach to protecting patients during breast and lung radiation therapy

22-HVI-3435931_cath-lab_650x450

Simple Measures for Cath Lab Radiation Dose Reduction Significantly Lower Exposure

Cleveland Clinic experience is applicable to other laboratories

Dr. Silver in lab

HPV-Negative Tumors Harbor More Oncobacteria, Study Finds

Analysis of HNSCC patients shows HPV status to be predictive of higher abundance of oncobacteria within the tumor

Patient with tracheal tube

Severe Tracheal Stenosis After Prolonged Intubation: A Case Study in Successful Airway Reconstruction

Case study illustrates the potential of a dual-subspecialist approach

Dr. Ku with patient

New ASCO Guideline Highlights Role of TORS in Managing Oropharyngeal Cancer

Evidence-based recommendations for balancing cancer control with quality of life

Ad