Locations:
Search IconSearch
December 7, 2019/Neurosciences/Research

Performing Hemispherectomy in Adulthood Doesn’t Compromise Seizure Freedom Rates

One of the largest series in adults finds outcomes comparable to those in children

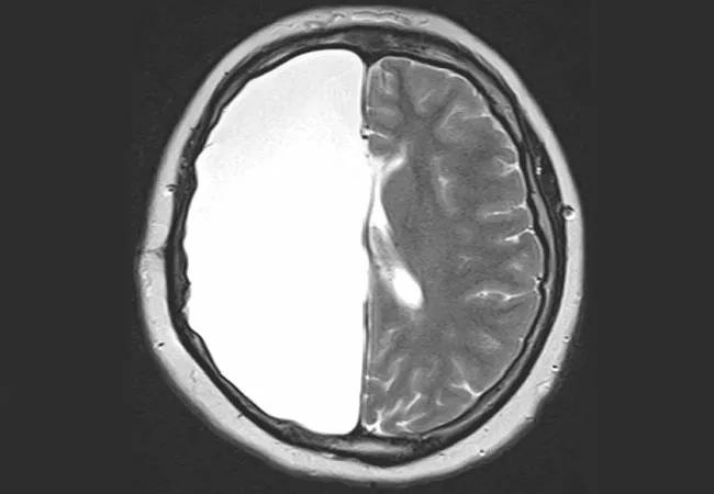
hemispherectomy

Long-term freedom from seizures and functional outcomes for adults following hemispherectomy are similar to those reported in patients undergoing the surgery during infancy or childhood. So finds a newly reported review of Cleveland Clinic experience with the procedure in adults, which also revealed prognostic indicators of postoperative outcomes.

Advertisement

Cleveland Clinic is a non-profit academic medical center. Advertising on our site helps support our mission. We do not endorse non-Cleveland Clinic products or services. Policy

“Hemispherectomy is rarely performed after childhood for refractory epilepsy, when it is feared that risks to language, cognition and motor skills may be too high,” says Cleveland Clinic epileptologist Ahsan N. V. Moosa, MD, primary investigator of the study, which was published in Epilepsia (2019 Nov 2 [Epub ahead of print]) and presented on December 7 at the American Epilepsy Society’s 2019 annual meeting. “But we found that this surgery is also safe and effective after age 16, and we identified factors that can inform preoperative counseling.”

A dearth of adult outcomes data

When indicated for refractory epilepsy secondary to a large, unilateral hemispheric lesion, hemispherectomy is usually performed in infancy or childhood to take advantage of the time of optimal neural plasticity. Long-term seizure freedom rates following hemispherectomy in childhood are reported to be about 66% to 80%. Because the procedure is so uncommonly performed in older age groups, less is known about immediate outcomes in this setting, and no longitudinal data were available.

Study population

This study reviewed 47 consecutive patients who were at least 16 years old when they underwent hemispherectomy between 1996 and 2016 at Cleveland Clinic’s Epilepsy Center. Preoperatively, 93% of patients had seizures either daily or weekly.

The mean age at surgery was 26.4 years, with age cohorts breaking down as follows:

  • 11 patients (23%) were 16 to 18 years old
  • 16 patients (34%) were 18 to 24
  • 20 patients (43%) were 25 or older

Most patients acquired their epileptogenic lesion well before the surgery, as follows:

  • 76% before age 2 years (including pre- and perinatally)
  • 11% between 2 and 10 years
  • 9% between 11 and 16 years
  • 4% after age 16

Advertisement

Nearly half of etiologies (47%) were attributed to perinatal stroke. Other causes included malformations of cortical development (15%) and other acquired conditions (30%), including Rasmussen encephalitis, trauma and encephalitis.

Favorable outcomes overall

The following outcomes were found over mean postsurgical follow-up of 5.4 years (median, 2.9 years):

  • Seizures improved in the vast majority. At five years post-surgery and beyond, 77% of patients (36 of 47) were classified as Engel I (free of disabling seizures), with outcomes remaining stable for up to 12 years. Of these, 27 remained seizure-free, with four off antiepileptic drugs. The others in this group were taking an average of 1.2 antiepileptic medications, down from 3.2 preoperatively. Five patients (10%) were classified as Engel II or III (some seizure improvement), and six (13%) had no worthwhile improvement (Engel IV).
  • Motor function was typically unchanged. Hemiparesis, fine finger movements and ambulatory status were unchanged after surgery in 60% to 75% of patients. A few patients improved, and the others worsened.
  • Language function was stable in all but one case. This patient had unexpected expressive aphasia postoperatively. His preoperative Wada testing showed a misleading result of language function in the opposite hemisphere (functional MRI was not in practice at the time).
  • Cognitive measures mostly remained stable. Of the 19 patients who completed neuropsychological testing, 17 either stayed the same or improved postoperatively.

Advertisement

Predicting seizure recurrence

Multivariate analysis revealed two factors associated with seizure recurrence after hemispherectomy:

  • Acute postoperative seizures
  • Contralateral interictal spikes on six-month follow-up EEG

Although acute postoperative seizures are often regarded as transient and attributable to perioperative stresses, Dr. Moosa notes that they may be a predictor of poorer prognosis, especially in patients with severe epilepsy preoperatively. None of the patients who had Engel class I outcomes showed epileptic activity in the contralateral hemisphere postoperatively.

Nevertheless, Dr. Moosa emphasizes, bilateral or generalized epileptiform discharges seen on preoperative EEG should not disqualify a patient from consideration for hemispherectomy; such features were found in one-third of the patients who became seizure-free postoperatively.

Predicting postoperative motor function

In general, better preoperative motor function — and lack of cerebral peduncle atrophy on preoperative MRI (which was usually associated with it) — correlated with worsened motor function postoperatively. This was true for both ambulatory status and hand function.

What’s the role of neural plasticity?

According to Dr. Moosa, it is perhaps not surprising that outcomes of adult hemispherectomy were similar to those of hemispherectomy performed in childhood because most of the adult patients in this cohort experienced their brain injury in childhood.

“One might regard most of these patients as pediatric hemispherectomy candidates who had their surgery in adulthood,” he explains. “Our results suggest that neural plasticity and language transfer across hemispheres are determined by the age at brain injury, not by when surgery is performed.”

Advertisement

Related Articles

two brain scans side by side with a yellow circle on the left scan
March 13, 2026/Neurosciences/Epilepsy

SEEG Linked With More Complete Resection and Greater Seizure Freedom in MOGHE Subtype of Epilepsy

Insights from one of the first studies of invasive monitoring in the rare form of focal cortical dysplasia

histopathology image with pink background and arrow pointing to round cell

New Insights on α-Synuclein Pathology and Clinical Phenotypes in Dementia With Lewy Bodies

The disease’s neuropathologic heterogeneity holds clues to refining diagnosis and prognosis

MRI of the brain against black background

Advanced Neuroimaging and Clinical Perseverance Make Sense of a 68-Year-Old’s Progressive Symptoms

A case study in pairing imaging acumen with subspecialty expertise to yield answers and symptom relief

brain scan with colored dots over a dark gray region
March 3, 2026/Neurosciences/Epilepsy

Decoding the Insula: New Semiological Insights for Localizing Seizure Onset

Guidance from the largest cohort of SEEG-confirmed insular epilepsy patients reported to date

Photo of Dr. Ford
March 2, 2026/Neurosciences/Podcast

Neuroethics Conversations: Guidelines for Care (Podcast)

Ethical guidance provides guardrails so medical advances benefit patients

red blood cells floating in a blood vessel
February 27, 2026/Neurosciences/Cerebrovascular

Factor XIa Inhibition Drives Down Recurrent Stroke Risk Without Rise in Bleeding

OCEANIC-STROKE results represent long-sought advance in secondary stroke prevention

two brightly colored brain scans side by side
February 25, 2026/Neurosciences/Epilepsy

MR Fingerprinting Shows Potential to Reshape FCD Detection and Epileptogenicity Mapping

Two studies from Cleveland Clinic may help advance the technology toward broader clinical use

MRI scan of the side of a human head
February 20, 2026/Neurosciences/Cerebrovascular

Susac Syndrome: Insights on Rare Endotheliopathy From Largest Single-Center Cohort to Date

Distinct MRI signature includes lesions beyond the corpus callosum, features predictive of vision and hearing loss

Ad