Locations:
Search IconSearch

Case Report: Rare, Symptomatic Gastrointestinal Sarcoidosis

Patient with previous neurological, bone and hematologic involvement presents with hematemesis

Sarcoidosis

A 59-year-old Black male with a past medical history of biopsy-proven sarcoidosis with neurological, bone and hematologic involvement presented with upper gastrointestinal bleeding and acute blood loss anemia. His sarcoidosis had been in remission since 2012 after previous treatment with methotrexate.

Advertisement

Cleveland Clinic is a non-profit academic medical center. Advertising on our site helps support our mission. We do not endorse non-Cleveland Clinic products or services. Policy

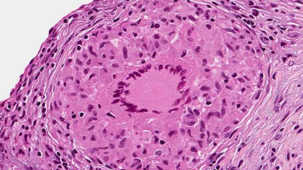
He was admitted to the medical intensive care unit with hematemesis. Esophagogastroduodenoscopy (EGD) showed peptic ulcer disease, and cultures were positive for H. pylori. He continued to rebleed despite multiple embolizations and ultimately required more than 50 units of packed red blood cells transfused over the course of the month. He then underwent a total gastrectomy, splenectomy and esophagojejunal anastomosis with J-tube. Following the procedure, he had another episode of massive bleeding requiring pressors. Interventional radiology angiogram showed active extravasation from the jejunal branch of the superior mesenteric artery. Pathology from the gastrectomy showed numerous well-formed non-necrotizing granulomas involving the entire gastric wall, duodenal tissue, omentum and spleen. Acid-fast bacilli (AFB) and fungal stains were negative.

Watch Juliette Yedimenko, MD, staff in the Department of Rheumatologic and Immunologic Diseases, discuss the case to find out how physicians established the difficult diagnosis of systemic sarcoidosis.

A Rare Case of Sarcoidosis

“GI tract involvement in sarcoidosis is exceedingly rare, with some studies showing an incidence of symptomatic GI sarcoidosis to be less than one percent,” says Dr. Yedimenko. “Any part of the GI tract can be affected, including the esophagus, stomach, small and large bowel. The diagnosis is difficult to make, as the presence of granulomatous inflammation does not necessarily mean sarcoidosis is responsible for the clinical manifestation, and common GI diseases must be excluded. Treatment is usually high-dose steroids and DMARDs [disease-modifying antirheumatic drugs] such as methotrexate, azathioprine and infliximab. In refractory cases, surgical intervention may be necessary with bowel obstruction, perforation or massive hemorrhage.”

Advertisement

Related Articles

Older woman in hospital bed with oxygen mask
January 13, 2026/Rheumatology & Immunology
Continued COVID Management for Immunosuppressed Patients

The case for continued vigilance, counseling and antivirals

Red rash on legs
Case: Symptoms Atypical for This Disease on the Rise

High fevers, diffuse rashes pointed to an unexpected diagnosis

CAR T cell illustration
December 30, 2025/Rheumatology & Immunology
Summit Focuses on Clinical and Research Advances in Biologic Therapies

No-cost learning and CME credit are part of this webcast series

vasculitis rash
There’s No Debating the Value of Vasculitis Summit on Webcast

Summit broadens understanding of new therapies and disease management

Older man looking at phone
December 2, 2025/Rheumatology & Immunology
Lifestyle eCoaching Shows Promise for PsA-Related Mental Health Needs

Program empowers users with PsA to take charge of their mental well being

Blue and red balls symbolizing nitric oxide
Nitrogen: The Usung Hero of Vascular Physiology

Nitric oxide plays a key role in vascular physiology

Dr. Littlejohn with patient in clinic
Lupus Case Underscores CAR T-Cell Potential for Quality-of-Life Benefit

CAR T-cell therapy may offer reason for optimism that those with SLE can experience improvement in quality of life.

Drs. Elaine Husni and Shashank Cheemalavagu in the lab
A Novel Mechanism in Psoriatic Disease Pathogenesis

Unraveling the TNFA receptor 2/dendritic cell axis

Ad