Locations:
Search IconSearch
April 2, 2025/Neurosciences/Epilepsy

Subtyping of Tuberous Sclerosis Complex Promises More Personalized Treatment and Surveillance

Phenotypic clustering study reveals four distinct disease trajectories

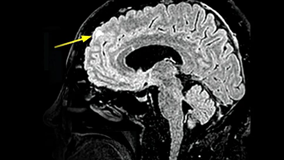
brain MRI with arrow pointing to a cortical tuber

For the first time, researchers have classified tuberous sclerosis complex (TSC) into distinct subtypes, each associated with its own specific gene mutations, disease trajectories and overall prognoses. The findings, published in Brain by Cleveland Clinic investigators, underscore the heterogeneity of TSC and hold potential to guide future disease surveillance, treatment protocols and clinical trial design.

Advertisement

Cleveland Clinic is a non-profit academic medical center. Advertising on our site helps support our mission. We do not endorse non-Cleveland Clinic products or services. Policy

“Despite gains in our understanding of the phenotypes with which TSC may present, we wanted to better understand genotype-phenotype correlations in this disorder so that we could better advise patients and their families on what to expect and to enhance treatment strategies,” says the study’s senior author, Ajay Gupta, MD, Section Head of Pediatric Epilepsy at Cleveland Clinic.

TSC: A diagnosis clouded by uncertainty

TSC is a multisystem autosomal dominant disorder characterized by a wide range of clinical presentations including neurological manifestations, such as seizures and neurodevelopmental disorders, as well as neuropsychiatric conditions and development of hamartomas in various organs. The heterogeneity arises from germline variants in the TSC1 or TSC2 genes, leading to dysfunction in the mTOR pathway. Most cases manifest during infancy or childhood.

Families with TSC gene mutations face a lifetime of uncertainty. Despite advances in genetic testing, clinicians generally cannot tell their patients with TSC which of the disease’s many possible symptoms may arise from their mutation.

Essentials of the new study

In an attempt to reduce that uncertainty, Dr. Gupta and Cleveland Clinic co-investigators analyzed the TSC Natural History Database, a prospective, multicenter U.S. repository of well-characterized patients in the TSC Clinical Network, in which Cleveland Clinic is a participating center. To assess for patterns in how the disease manifested among the database’s 947 individuals with clinically confirmed TSC, the researchers used an unbiased, phenotype-driven clustering approach. They focused on 29 clinical features to group patients, using a statistical method known as logistic principal components analysis as their primary method and hierarchical clustering to confirm consistency of results.

Advertisement

The analysis identified four main clusters of TSC cases, each with specific gene mutations and disease trajectories:

  • Angiomyolipoma-predominant TSC (Cluster 1): This was the largest cluster (34.1% of patients) and consisted largely of patients with characteristic cutaneous manifestations (e.g., facial angiofibromas) and a predisposition toward tumors in the kidneys (angiomyolipomas) and brain.
  • TSC with infantile spasms (Cluster 2): This cluster (22.8%) was characterized by a high prevalence of infantile spasms and was distinct from the neuropsychiatric cluster (Cluster 3), suggesting a relative exclusivity of these findings.
  • Neuropsychiatric TSC (Cluster 3): In this group (17.6%), neurodevelopmental disorders predominated (e.g., autism, intellectual disabilities, neuropsychiatric conditions) and were accompanied by a high frequency of focal seizures, cortical tubers (example indicated by the arrow in the MRI at the top of this article) and subependymal nodules.
  • Milder phenotype of TSC (Cluster 4): This cluster (25.4%) comprised patients with common neurological and cutaneous findings of TSC but with a mild overall phenotype having a low impact on quality of life, no tumor manifestations and fewer neuropsychiatric manifestations.

The study also assessed associations between these phenotypic clusters and the underlying genotype (TSC1 or TSC2 gene variants). Although no statistically significant associations were found with overall TSC1/TSC2 mutation status or variant type, the researchers identified associations with variant location within specific protein domains. For instance:

Advertisement

Variants affecting the Rho domain of TSC1 (exons 5-12) were significantly more likely to be found in Cluster 1 (angiomyolipoma-predominant) and significantly less likely in Cluster 4 (milder phenotype).

Variants affecting the TSC1 binding domain (exons 2-12) of TSC2 were also significantly more likely to be found in Cluster 1 and significantly less likely in Cluster 4.

Implications and for both treatment and research

The authors conclude that their findings “establish the foundation for larger, prospective studies aimed at validating and refining the proposed disease subtype clustering in TSC.” While acknowledging this need for additional validation, the researchers are excited about the impact TSC subtyping could have for patients and their families, in terms of more personalized management.

“Understanding how our patients’ genetics influence their symptoms will help us ensure that our patients with TSC have everything they need — and only what they need — when it comes to treatment and surveillance,” Dr. Gupta says.

These new insights into disease trajectories have implications for clinical trial design as well, adds co-investigator Andrew Dhawan, MD, PhD, a Cleveland Clinic neuro-oncologist who monitors adults with TSC for brain tumors (benign and cancerous) and treats them accordingly.

“Someone interested in developing a drug for TSC patients with brain or renal disease would probably only want to enroll those TSC patients who are going to have the most severe brain and renal symptoms,” Dr. Dhawan explains. “Giving the therapy to a patient in a TSC cluster not marked by renal manifestations could skew the clinical trial results because the drug wouldn’t make much of a difference for such a patient. These findings should help us refine patient selection to improve future trials.”

Advertisement

Related Articles

Lymphangioleiomyomatosis
Considerations When Evaluating Pulmonary Cysts

A Cleveland Clinic pulmonologist highlights several factors to be aware of when treating patients

gloved hand holding blood vial with neuropathology slide in background
October 10, 2025/Neurosciences/Epilepsy
Blood-Based Epigenetic Biomarkers Differentiate Focal Cortical Dysplasia Subtypes

Paired blood and brain tissue methylation findings raise prospect of noninvasive precision diagnosis

four colored brain scans against black background
May 28, 2025/Neurosciences/Epilepsy
Clinical Application of MR Fingerprinting in Epilepsy Advances With NIH Grant Renewal

Researchers pair quantitative imaging with AI to improve surgical outcomes in nonlesional epilepsy

Epilepsy
March 10, 2025/Neurosciences/Epilepsy
Epilepsy and Obstructive Sleep Apnea: Assessing the Risk of SUDEP

Patients with epilepsy should be screened for sleep issues

bottle of liquid cannabidiol next to a medicine dropper
February 11, 2025/Neurosciences/Epilepsy
CBD Yields Rapid Seizure Resolution in Two Cases of Refractory Epilepsy With Myoclonic-Atonic Seizures

Sustained remission of seizures and neurocognitive dysfunction subsequently maintained with cannabidiol monotherapy

brain map showing planned electrode placement
November 25, 2024/Neurosciences/Epilepsy
What We’ve Learned From Our First 1,000 Cases of SEEG Evaluation

Progress in stereoelectroencephalography for epilepsy surgery evaluation since Cleveland Clinic performed the first U.S. case in 2009

scalp EEG electrodes on a woman's head
October 17, 2024/Neurosciences/Epilepsy
Machine Learning Algorithm May Enhance Accuracy of Predicting Seizure Control After Epilepsy Surgery

Model relies on analysis of peri-ictal scalp EEG data, promising wide applicability

schematic view of brain connections during an epileptic seizure
April 5, 2024/Neurosciences/Epilepsy
New Insights on the Dynamics of Interictal-to-Ictal Transitions in Epilepsy

Study combines intracranial electrophysiology and SPECT to elucidate the role of hypoperfusion

Ad