Locations:
Search IconSearch
September 20, 2021/Pulmonary/Case Study

Case Report: Common Variable Immunodeficiency and Lung Disease

Multidisciplinary treatment of rare and complex immunodeficiencies

21-PUL-2311233 Comples Case Immunology Fernandez_CQD

By James Fernandez, MD, PhD

Advertisement

Cleveland Clinic is a non-profit academic medical center. Advertising on our site helps support our mission. We do not endorse non-Cleveland Clinic products or services. Policy

Presentation

A 36-year-old female presented to Cleveland Clinic Respiratory Institute’s Immunology Clinic as a referral for immune dysfunction. Her medical history had been unremarkable except for a recent fall from her horse. Testing in an outside emergency department had uncovered a platelet count of 46 k/uL. She was then diagnosed with immune thrombocytopenia (ITP) and treated appropriately. She was referred to our clinic for long-term management.

Our clinic ordered further lab testing, which revealed an IgG of 191 mg/dL, an IgA of 26mg/dL and an IgM of 55 mg/dL. After showing poor response to multiple vaccine challenges, she was diagnosed with Common Variable Immunodeficiency (CVID) and began intravenous IgG.

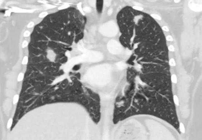
Soon after, she developed bloody diarrhea. Abdominal computed tomography (CT) showed multiple lung nodules and diffuse adenopathy. A CT chest confirmed the nodules.

Pre-treatment. CT chest shows numerous bilateral upper lung and lower lung pulmonary nodules without cavitation or calcification, measuring up to 17 mm.

Fecal analysis showed camphylobacter and Shiga toxin-producing E. coli, and an infectious disease specialist prescribed levofloxacin. Axillary lymph node biopsies showed follicular hyperplasia. Shortly after, she developed worsening shortness of breath. An open lung biopsy showed chronic lymphocytic bronchiolitis with areas of organizing pneumonia and lymphoid hyperplasia.

Wedge biopsies of upper and lower lobes of right lung. A. Lymphocytic bronchiolitis with a giant cell (arrow). B. Organizing pneumonia characterized by alveolar plugs of fibromyxoid tissue (short arrow) in association with the lymphoid follicles (long arrows).

Advertisement

Managing CVID and comorbidities

Managing a patient with CVID, lung nodules and lymphadenopathy with potential for lymphoma requires a multidisciplinary approach. About one-third of patients with CVID have developed chronic pulmonary disease by the time of diagnosis. Furthermore, lymphomas also occur at much higher rates in patients with CVID, so a lymph node biopsy is important early in the course of treatment. A swift diagnostic and treatment approach is important in all immunodeficient patients.

This patient’s disease was originally treated with prednisone and had responded well, but shortness of breath recurred upon weaning to 5 mg every other day. Her reactive lymphadenopathy also responded well to the steroids.

The patient was presented at a weekly interstitial lung disease (ILD) clinic meeting, and the team decided to treat her with rituximab. Shortly thereafter, she received her first course, with excellent response clinically and radiographically. She receives periodic dosing (approximately once a year) of rituximab with continued control of her respiratory disease.

CT chest showing significant improvement in number and size of pulmonary nodules.

This patient is one of the many with rare and complex immunodeficiencies seen in our immunology and ILD clinics each week. This expertise has allowed Cleveland Clinic to build a team approach with immunologists, pulmonologists, hematologists, oncologists and other subspecialty physicians that are uniquely familiar with these types of patients.

Dr. Fernandez is staff in the Department of Allergy and Clinical Immunology.

Advertisement

Related Articles

Image of neighborhood
May 14, 2026/Pulmonary/Research

CEPHR: Advancing Patient Care Through Environmental Health Research

The Center for Environment, Place and Health Research connects clinicians with mapping tools and other real-world data resources to help guide medical insights

James Stoller, MD
April 28, 2026/Pulmonary/Podcast

Where Are They? Patients with Alpha-1 Antitrypsin Deficiency (Podcast)

Exploring the true prevalence of AATD among Americans and why so many remain undetected

Patient getting a CT scan
April 24, 2026/Pulmonary/News & Insight

Lung Nodule Management at Cleveland Clinic: Insights From a Growing Program

Rapid growth and collaboration have advanced the Lung Nodule Program, but patient engagement barriers persist

Controls for a robotic-assisted bronchoscopy platform
March 23, 2026/Pulmonary/News & Insight

Robotic-Assisted Bronchoscopy for Peripheral Lung Lesions: What Matters Beyond Navigation

A physician's perspective on confirmation imaging, diagnostic confidence and choosing the right robotic platform for patients

portraits of Joy Ussavarungsi, MD, and Les Tolle, MD
March 16, 2026/Pulmonary/Podcast

Understanding LAM: Insights Into This Rare Lung Disease (Podcast)

A look into recent developments in the diagnosis of LAM and its clinical presentation

Peter Mazzone, MD, MPH; Angel Coz-Yataco, MD; and Matt Siuba, DO
February 11, 2026/Pulmonary/Podcast

2025 CHEST Conference Highlights (Podcast)

Takeaways from the most recent annual meeting centered around clinical advances, AI integration and professional development

patient coughing
January 23, 2026/Pulmonary/News & Insight

Redefining Bronchiectasis Management: Multidisciplinary Teams and Modern Therapies at Cleveland Clinic Florida

Recent breakthroughs have brought attention to a previously overlooked condition

physician checking patient breathing
January 20, 2026/Pulmonary/Podcast

Treating CTEPH: Surgery, Medication or Balloon Angioplasty? (Podcast)

A review of treatment options for patients who may not qualify for surgery

Ad