Locations:
Search IconSearch
July 12, 2022/Pulmonary/Case Study

Case Study: Pulmonary Sarcoidosis

A multidisciplinary approach to treatment can be beneficial since other organs in addition to the lungs can be affected by the systemic disease

Sarcoidosis

Written by Timothy Lumpkin, MD

Advertisement

Cleveland Clinic is a non-profit academic medical center. Advertising on our site helps support our mission. We do not endorse non-Cleveland Clinic products or services. Policy

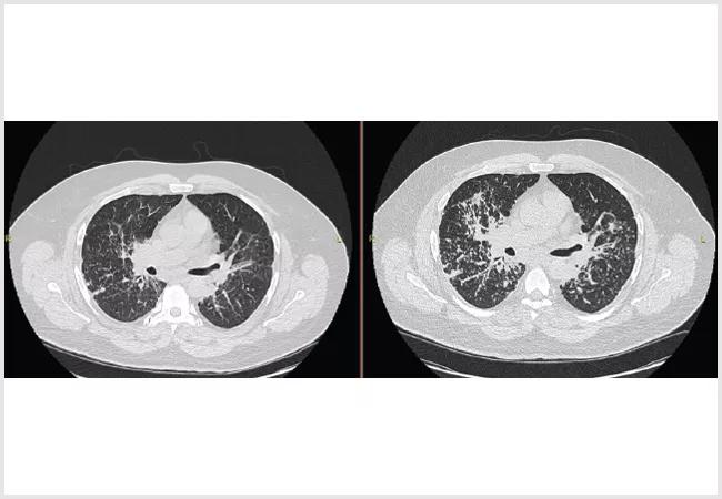
A 54-year-old male originally presented after pre-operative testing for an upcoming orthopedic surgery. The test showed an abnormal CXR prompting further work up with CT chest and subsequent bronchoscopy. A lymph node biopsy demonstrated granulomas consistent with a diagnosis of sarcoidosis.

He was referred to the Cleveland Clinic for sarcoidosis. At the initial visit, he had normal spirometry without obstruction, forced vital capacity of 88% and DLCO of 102% and was asymptomatic. He was followed serially for a year until developing shortness of breath. Repeat imaging demonstrated progressive interstitial disease, and repeat pulmonary function testing showed new moderate obstruction and a drop in FVC to 79% predicted.

The patient was started on steroids and methotrexate. Steroids were weaned off after three months, and methotrexate was titrated to the appropriate dose over several months. After one year of therapy, his CT demonstrated significant improvement, and pulmonary function testing demonstrated resolution of his obstruction and a FVC of 95% predicted. In addition, his symptoms had resolved.

Managing sarcoidosis

Sarcoidosis is a multisystem granulomatous disease of unknown etiology involving the deposition of non-necrotizing granulomas into involved organs. In nearly 90% of cases, the lungs are affected. Diagnosis involves an appropriate clinical picture, the exclusion of other etiologies and tissue sampling in some cases. Once diagnosed, clinicians must decide if and when to treat, which can be difficult given the systemic nature and varied presentation in each patient.

Advertisement

Treatment is aimed at preventing lasting disability from organ involvement and improving the patient’s quality of life. This involves targeting the immune system as it is inappropriately activated in this disease. Immunosuppressants such as steroids, methotrexate, leflunomide, azathioprine and TNF blockers have been used with success.

It’s important to consider that despite a predominance of cases involving the lungs, other organs can be involved as well. Nearly 30 % of patients present with extrapulmonary manifestations. The appropriate screening modalities for other organs involved have not yet been defined, but appreciating the complexity and spectrum of the disease is essential for holistic management. This is most easily achieved with a multidisciplinary approach, which is used at the Cleveland Clinic. Close follow-up with physicians familiar with the disease is essential in monitoring the disease and determining treatment options.

Takeaways

  • Sarcoidosis is a systemic disease, but it predominantly affects the lungs.
  • Treatment is not needed in all cases but is required in cases where organ involvement is leading to irreversible damage or in cases to help patients with improving quality of life.
  • Other organs can be affected outside of the lung and require careful screening.
  • Given the systemic nature and varied presentation, a multidisciplinary approach to treatment is very beneficial, and patients should be referred to centers that specialize in sarcoidosis.
  • Patients should be followed closely by physicians familiar with the disease and extrapulmonary manifestations.

Advertisement

Related Articles

Image of neighborhood
May 14, 2026/Pulmonary/Research

CEPHR: Advancing Patient Care Through Environmental Health Research

The Center for Environment, Place and Health Research connects clinicians with mapping tools and other real-world data resources to help guide medical insights

James Stoller, MD
April 28, 2026/Pulmonary/Podcast

Where Are They? Patients with Alpha-1 Antitrypsin Deficiency (Podcast)

Exploring the true prevalence of AATD among Americans and why so many remain undetected

Patient getting a CT scan
April 24, 2026/Pulmonary/News & Insight

Lung Nodule Management at Cleveland Clinic: Insights From a Growing Program

Rapid growth and collaboration have advanced the Lung Nodule Program, but patient engagement barriers persist

Controls for a robotic-assisted bronchoscopy platform
March 23, 2026/Pulmonary/News & Insight

Robotic-Assisted Bronchoscopy for Peripheral Lung Lesions: What Matters Beyond Navigation

A physician's perspective on confirmation imaging, diagnostic confidence and choosing the right robotic platform for patients

portraits of Joy Ussavarungsi, MD, and Les Tolle, MD
March 16, 2026/Pulmonary/Podcast

Understanding LAM: Insights Into This Rare Lung Disease (Podcast)

A look into recent developments in the diagnosis of LAM and its clinical presentation

Peter Mazzone, MD, MPH; Angel Coz-Yataco, MD; and Matt Siuba, DO
February 11, 2026/Pulmonary/Podcast

2025 CHEST Conference Highlights (Podcast)

Takeaways from the most recent annual meeting centered around clinical advances, AI integration and professional development

patient coughing
January 23, 2026/Pulmonary/News & Insight

Redefining Bronchiectasis Management: Multidisciplinary Teams and Modern Therapies at Cleveland Clinic Florida

Recent breakthroughs have brought attention to a previously overlooked condition

physician checking patient breathing
January 20, 2026/Pulmonary/Podcast

Treating CTEPH: Surgery, Medication or Balloon Angioplasty? (Podcast)

A review of treatment options for patients who may not qualify for surgery

Ad