Locations:
Search IconSearch

Case Study: Clinical Discernment Leads to Diagnosis of Rare Disease, Avoiding Invasive Kidney Procedure

Case presentation, making the diagnosis and the take-home message

ct-650×450

A 59-year-old female presented with a three-month history of worsening cervical lymphadenopathy. She reported a history of hypertension, hepatitis C and Samter’s Triad. The team performed a basic lymphadenopathy workup, which revealed elevated CRP, ESR, HCV Ab detection with undetectable viral load and a positive EBV IgG. Nephrology was consulted when her blood work showed worsening levels of her serum creatinine, from a baseline of 0.7 mg/dL to 1.2 mg/dL.

Advertisement

Cleveland Clinic is a non-profit academic medical center. Advertising on our site helps support our mission. We do not endorse non-Cleveland Clinic products or services. Policy

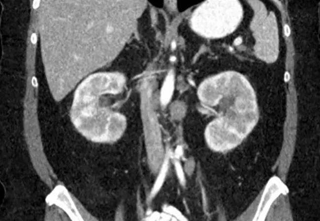
CT imaging was obtained, revealing a potentially infiltrative pathology and enlarged cervical, mediastinal and retroperitoneal lymph nodes, including multiple bilateral renal masses with abnormal markings.

Next, a lymph node biopsy was obtained, revealing histiocytic and acute inflammatory lymphadenitis with polytypic plasmacytosis and emperipolesis. The biopsy ruled out malignancy, and immunostaining showed no infections. S-100 stained some of the histiocytes.

The patient was diagnosed with Rosai-Dorfman disease (RDD), a rare, idiopathic condition.

A rare condition: Rosai-Dorfman disease

RDD, also known as sinus histiocytosis with massive lymphadenopathy (SHML), is not well-described in the literature. The condition is marked by the proliferation of histiocytes in lymph nodes that often occur in the neck. However, this accumulation occurs extranodally in about 40% of cases, including the skin, central nervous system, kidney and digestive tract.

RDD-associated kidney masses occur in about 4% of cases. The majority of these cases were diagnosed following a partial or radical nephrectomy, explains Moarij Qazi, MD, a nephrology fellow in Cleveland Clinic’s Glickman Urological & Kidney Institute. He presented this case in an e-poster presentation during the National Kidney Foundation’s 2021 Spring Clinical Meetings.

Outcomes and lessons learned

Once the patient was started on Prednisone 70 mg daily, her creatinine levels normalized and the infiltrates resolved.

The nephrology team recommended against a kidney biopsy, explaining that the renal abnormalities were likely a manifestation of RDD. This judicious clinical decision-making prevented surgical overtreatment and costs associated with unnecessary healthcare utilization.

Advertisement

Workup revealed kidney masses and abnormalities that were clinically concerning and potentially emblematic of a serious nephrotic syndrome or kidney cancer. However, based on the patient’s presentation, the findings of a lymph node biopsy were more revelatory than that of a kidney biopsy.

Sixteen percent of resected kidney masses are benign, says Georges Nakhoul, MD. “This is more evidence that we must maintain a high clinical suspicion when it comes to evaluating the nature of renal masses in this patient population,” he asserts.

Following treatment, the patient’s CT scan (left) showed resolution of masses, and the PET scan (right) did not pick up any significant hypermetabolic lesions in the kidneys.

Advertisement

Related Articles

young pain with scrotal pain
December 26, 2025/Urology & Nephrology/Urology

Efficiency Matters When Managing Testicular Torsion

Pediatric urologists lead quality improvement initiative, author systemwide guideline

Dr. Thomas with a patient

Evolving Paradigms in Hypertension Management

Fixed-dose single-pill combinations and future therapies

Dr. Lundy counseling a patient in clinic
November 25, 2025/Urology & Nephrology

Clinical Pearls for Treating Infertility and Low Testosterone in Men

Reproductive urologists publish a contemporary review to guide practice

Dr. Hoang Roberts in the operating room
November 20, 2025/Urology & Nephrology/Urology

Utilizing the Single-Port Robot for Sacrocolpopexy and Hysterectomy To Empower Patients

Two recent cases show favorable pain and cosmesis outcomes

Dr. Lundy in the operating room
October 27, 2025/Urology & Nephrology/Urology

Sperm Retrieval Surgery Can Be Delayed into Adulthood for Patients With Nonmosaic Klinefelter Syndrome, Study Finds

Meta-analysis assesses outcomes in adolescent age vs. mid-adulthood

Person shaking pills into their hands
September 26, 2025/Urology & Nephrology/Nephrology

IgA Nephropathy: Reviewing the Evidence on Current and Future Therapies

Proteinuria reduction remains the most important treatment target.

Pathology slide of IgA
September 25, 2025/Urology & Nephrology/Nephrology

IgA Nephropathy: Reviewing the Evidence on Pathogenesis, Diagnosis and Prognosis

IgA nephropathy is a relatively common autoimmune glomerular disease that can be diagnosed only by biopsy

Dr. Almassi in the operating room

Nerve-Sparing Cystectomy Preserves Sexual Function in Men With Bladder Cancer

Oncologic and functional outcomes are promising, but selection is key

Ad