Locations:
Search IconSearch

Cleveland Clinic London

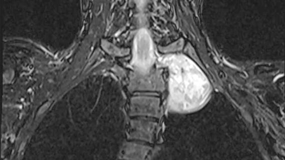
Nerve tumour in a patient's chest
February 19, 2026/Cleveland Clinic London

Case Study: Removing a Tumour at the Intersection of the Spine, Lung and Major Arteries

Complex procedure highlights the power of coordinated care across spinal, thoracic and vascular surgery

CNO Tiina Thornton

New Chief Nursing Officer Brings Her Vision to Cleveland Clinic London

Dedicated leader shares her passion for quality, education and professional development

Ceramic hip resurfacing implant
October 29, 2025/Orthopaedics/Hip & Knee

Ceramic Implant for Hip Resurfacing May Be Better for Patients With Smaller Hips

Study shows that postop function is closer to normal than with total hip arthroplasty

colored arrhythmia tracings on a medical monitor screen

Takeaways From US and European Guidelines on Atrial Fibrillation: View From the UK

UK experts compare and contrast the latest recommendations

Advertisement

Cleveland Clinic is a non-profit academic medical center. Advertising on our site helps support our mission. We do not endorse non-Cleveland Clinic products or services. Policy

older man lifting weights

How MRI Can Transform Sarcopenia Research

Advances in imaging technology could offer new insights for combatting age-related muscle loss

Skis in snow
February 26, 2024/Cleveland Clinic London

Multidisciplinary Rehab Team Helps Patient Make Full Recovery From Severe Ski Accident

Case report of a young man with severe traumatic brain injury and cognitive deficits

Knee surgery
December 5, 2023/Cleveland Clinic London

A First in London: Total Knee Replacement Assisted by Augmented Reality

Special glasses allowed surgeon to see 3D models and anatomic data superimposed on surgical field

23-CCC-4284670-CQD-Hero-650×450
November 30, 2023/Cleveland Clinic London

Technology Integration Earns Accolades for Cleveland Clinic London

First private hospital in the U.K. to receive HIMSS EMRAM Stage 6 accreditation

illustration showing the three branches of the trigeminal nerve
September 8, 2023/Cleveland Clinic London

Guidelines for the Management of Trigeminal Neuralgia

A review of takeaways from the recent U.K. national guidelines

23-CCC-3907458 CC London neuroendocrine case report 650×450

Case Report: Symptoms of Hypoglycaemia Lead to an Unexpected Diagnosis

Patient’s unexplained low blood glucose levels in the absence of diabetes spark quest for answers

BackPage 1 of 2Next

Advertisement

Ad