Locations:
Search IconSearch
November 3, 2025/Orthopaedics/Tumor

Fighting Pain and Fracture: Improving the Care of Metastatic Acetabular Lesions

Percutaneous stabilization can increase mobility without disrupting cancer treatment

Lesion in acetabulum

Patients with metastatic disease of the acetabulum now have a minimally invasive option for surgically stabilizing the bone to reduce pain, improve mobility and prevent further fracture. Percutaneous stabilization is becoming more prevalent thanks to advances in imaging techniques, surgical instrumentation and implants, says Lukas Nystrom, MD, a Cleveland Clinic orthopaedic surgeon who specializes in musculoskeletal oncology.

Advertisement

Cleveland Clinic is a non-profit academic medical center. Advertising on our site helps support our mission. We do not endorse non-Cleveland Clinic products or services. Policy

“This minimally invasive approach can both treat and fill metastatic lesions, reinforcing the bone and making it less likely to break, while causing little to no disruption in chemotherapy or other cancer treatments,” he says.

Formerly, when cancer spread to the acetabulum, treatment options were restricted to:

  • Conservative measures. This approach could include radiation therapy, weight-bearing modifications and medications to improve bone biology. “Some patients respond well while others have disease progression, sometimes making it impossible to reconstruct the bone later,” Dr. Nystrom says.
  • Open surgery. Conventional surgical treatment involves removing the acetabular defect and reconstructing the bone with pins or screws and cement, and sometimes performing a total hip replacement. “This invasive procedure can be difficult for patients as it requires a significant delay in starting their chemotherapy regimen or interrupting it if they already started,” Dr. Nystrom says. “Chemotherapy can impair wound healing and increase risk of infection after surgery.”

For these reasons, the orthopaedic oncology community has a growing interest in percutaneous stabilization techniques for the acetabulum.

“We’re finding that we can positively impact patients’ lives with this innovative approach that works well in conjunction with cancer treatments,” Dr. Nystrom says. “These techniques are less invasive and don’t present the same concerns as a larger open surgery.”

Three tiny incisions

The procedure is performed in an operating room, with the patient under general anesthesia. The surgeon uses imaging guidance to identify trajectories for implanting screws or performing kyphoplasty to fill space and stabilize bone. Using a tripod concept, the surgeon stabilizes the hip socket through three incisions, each approximately 1 cm.

Advertisement

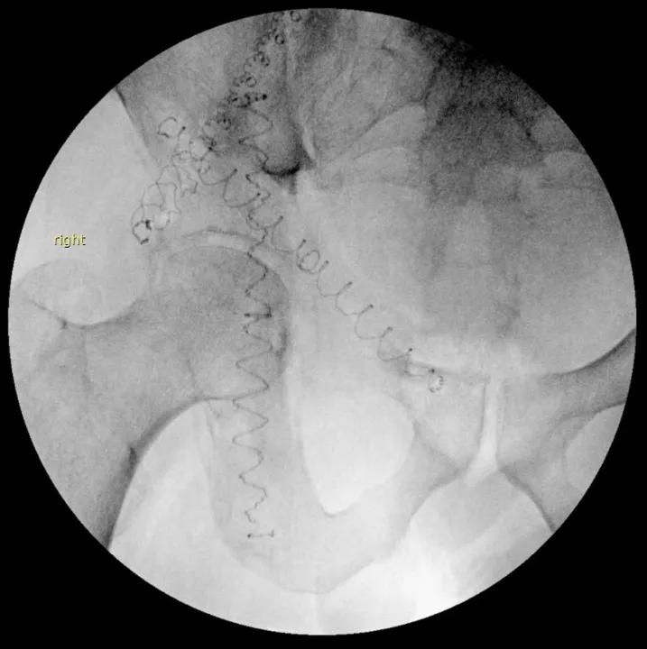
Kyphoplasty of acetabulum
Intraoperative anterior-posterior fluoroscopy shows three photodynamic balloons supporting the right acetabulum. This procedure also can be done with cannulated screws. Balloons were chosen in this case to help fill some of the metastatic defect in the acetabulum.

This fixation procedure can be combined with cryoablation of the lesion by an interventional radiology team. However, often the lesion is not removed but rather treated with radiation or other therapies directed by the oncology team.

Despite the less invasive nature, the procedure is not without risk.

“Percutaneous stabilization is a technically demanding procedure in a high-risk surgical territory,” Dr. Nystrom says. “It requires careful assessment of imaging and surgical precision to avoid misdirecting a screw into the bowel, bladder or blood vessels, for example.”

For patients at risk of painful pathologic fracture

Percutaneous stabilization should be considered for any patient who has a large metastatic lesion in the acetabulum that is causing pain or presenting a risk of fracture.

“It may not be appropriate for addressing smaller lesions or lesions that are more responsive to oncologic treatments, such as multiple myeloma, lymphoma and treatment-naïve breast cancer,” Dr. Nystrom says. “While the procedure is minimally invasive, it does carry some surgical risk. That risk may be avoided if a bone pathology can be eliminated through other, nonsurgical therapies.”

The procedure is not advised for patients unable to have general anesthesia or who have a very limited prognosis related to their overall disease. On the other hand, some patients have lesions that are so extensive or destructive that a larger open surgery is still required. Cleveland Clinic’s orthopaedic oncology team personalizes treatment recommendations based on each patient’s therapeutic goals and prognosis.

Advertisement

“Percutaneous stabilization is an option for many patients at risk of pathologic acetabular fracture,” Dr. Nystrom adds, “especially if they are experiencing pain. We’re available to help evaluate those patients and determine if surgical treatment is appropriate.”

Advertisement

Related Articles

Ceramic hip resurfacing implant
October 29, 2025/Orthopaedics/Hip & Knee

Ceramic Implant for Hip Resurfacing May Be Better for Patients With Smaller Hips

Study shows that postop function is closer to normal than with total hip arthroplasty

Anterior-based muscle-sparing hip replacement
February 5, 2026/Orthopaedics/Hip & Knee

Anterior-Based Muscle-Sparing Surgery Offers Another Option for Hip Replacement

How it’s similar but different from the direct anterior approach

genetic test
January 16, 2026/Cancer/News & Insight

Five Percent of U.S. Population Carries Pathogenic Variants Associated with Cancer Risk

Genetic variants exist irrespective of family history or other contributing factors

Total hip replacement
December 31, 2025/Orthopaedics/Hip & Knee

3 Innovations That Are Improving Precision in Direct Anterior Hip Arthroplasty

Should surgeons forgo posterior and lateral approaches?

Hip replacement and heart illustration
November 17, 2025/Orthopaedics/Hip & Knee

Patients With Heart Failure Report Excellent Outcomes After Hip or Knee Replacement

Multidisciplinary care can make arthroplasty a safe option even for patients with low ejection fraction

copper IUD device being held by a gloved hand

Considerations for Contraceptive Care for During and After Cancer

New guidelines update recommendations

Patient who had hip revision and heart failure
July 25, 2025/Orthopaedics/Hip & Knee

Hybrid Orthopaedic-Cardiac Team Performs Hip Revision in Patient With Less Than 10% Heart Function

High-risk procedure prepares patient for lifesaving heart surgery

Physician speaking with patient
July 23, 2025/Digestive/Research

Scoring Tool Predicts Colorectal Cancer Risk in Younger Adults

Simple score uses clinical factors to identify patients who might benefit from earlier screening

Ad