Locations:
Search IconSearch
August 6, 2025/Orthopaedics/Spine

Which Patients With Scoliosis Are Best for Vertebral Body Tethering?

Criteria include spinal curve less than 65 degrees, remaining skeletal growth

Vertebral body tethering to treat scoliosis

Vertebral body tethering (VBT) is a relatively new technique for treating progressive scoliosis in children. Instead of conventional spinal fusion surgery, which significantly reduces spinal mobility, VBT preserves mobility while guiding the spine into alignment as the child grows.

Advertisement

Cleveland Clinic is a non-profit academic medical center. Advertising on our site helps support our mission. We do not endorse non-Cleveland Clinic products or services. Policy

The surgical treatment has been offered at Cleveland Clinic since 2019.

“The concept of VBT is similar to growth modulation in the extremities, which may be more familiar to pediatricians,” says pediatric spine surgeon Ryan Goodwin, MD, Director of the Center for Pediatric Orthopaedics and Spine Deformity at Cleveland Clinic. “With growth modulation — also called ‘guided growth’ — we put a device around a growth center in a child’s leg, for example, so it grows from crooked to straight. VBT works the same way in the spine. We put forces around growth centers on one side of the spine so the other side can catch up.”

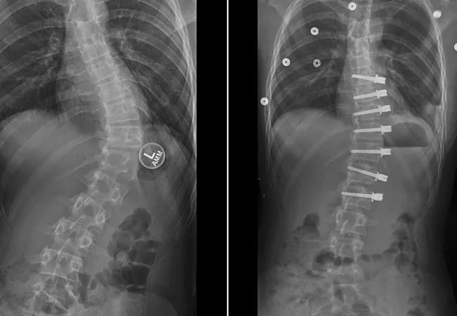
Progression of scoliosis correction with vertebral body tethering
Progression of scoliosis correction with VBT. A. Spinal curve in a 13-year-old patient with idiopathic scoliosis. B. Initial radiograph after VBT surgery, displaying partial correction of the curve. C. Continuing correction of the spinal curve six months after surgery. D. Further correction of the spinal curve 18 months after surgery.

How VBT works

Unlike spinal fusion, which requires a large incision on the patient’s back, VBT is minimally invasive, performed through tiny incisions on one side of the child’s chest.

The anesthesia team positions the patient on their side (convex spinal curve up) and then selectively deflates one lung to facilitate visualization of the front of the spine. Screw-like devices are inserted into each vertebra on the convex side of the curved spine. The screws then are tethered together with a flexible cord.

The tension of the cord applies force to the patient’s spinal growth centers, causing them to grow slower so the untethered (concave) side of the spine can catch up as it grows normally — usually over 12-24 months. The cord usually does not need to be adjusted or removed. As long as the patient achieves spinal correction or reaches skeletal maturity with a curve less than 40 degrees, the VBT screws and cord remain in place.

Advertisement

“Patients typically leave the hospital within 24 hours and require very few narcotics to control pain,” Dr. Goodwin says. “The morbidity of the procedure is very low compared to spinal fusion, where the patient is in the hospital for two to three days. Patients can return to their regular activities, even running, jumping, flipping and riding roller coasters, six weeks after VBT. It takes longer to return to school, sports and other activities after spinal fusion.”

When to recommend VBT

The ideal candidates for VBT are patients who have:

  • Progressive idiopathic scoliosis
  • Spinal curves between 35 degrees and 65 degrees
  • Skeletal growth remaining

Patients usually are between ages 10 and 15. However, skeletal age (as determined by hand X-rays, using the Sanders staging system) is more important than chronological age.

“If the patient’s growth centers are completely closed or if their spine has a curve more than 65 degrees, spinal fusion may produce better outcomes,” Dr. Goodwin says. “VBT also may not be ideal for younger patients who have a great deal of skeletal growth remaining. Overcorrection can be a risk for them.”

Still, Dr. Goodwin reinforces that VBT is the best surgical option for select patients because it preserves motion and prevents the stress that fusion can place on spinal disks. That stress can lead to degenerative arthritis later in life.

“For the right patients, VBT is more beneficial in the short term as well as long term,” he says. “And it preserves the option for spinal fusion later, if needed.”

Advertisement

More pediatricians should know

Because VBT is so new, long-term data are still being collected. Dr. Goodwin’s team is preparing to publish outcomes of the more than 100 cases managed to date at Cleveland Clinic.

“Easily 85% of our patients do well after a single operation,” he says.

He continues to raise awareness of VBT, especially among pediatricians.

“Most pediatricians understand the importance of treating progressive scoliosis, but many don’t know about VBT,” Dr. Goodwin says. “I want them to know that spinal fusion is no longer the only surgical treatment option. Some kids can benefit from motion-preserving growth modulation. However, they need to be referred for evaluation while they are still growing, so we don’t miss the window of opportunity.” 

Advertisement

Related Articles

Dr. Jason Savage against a decorative background with podcast button overlay
October 2, 2025/Neurosciences/Podcast
Essentials of Revision Spine Deformity Surgery (Podcast)

Success for these complex operations requires judicious patient selection and presurgical patient optimization

William Clifton, MD, against a decorative background
November 4, 2024/Neurosciences/Podcast
Adult Idiopathic Scoliosis: Essentials of Diagnosis and Treatment (Podcast)

Early intervention yields the best outcomes, but surgery can benefit older patients as well

21-ORI-2048688-CQD-Non-fusion-Technique-Scoliosis-2
April 12, 2021/Orthopaedics/Spine
Vertebral Body Tethering Is a Promising Alternative to Spinal Fusion Surgery

Cleveland Clinic pediatric spine surgeon shares his insights

19-ORT-1029-scoliosisSpine-surg_650x450
May 13, 2019/Orthopaedics/Spine
Magnetic Rods for Preoperative Skeletal Traction in Adolescent Idiopathic Scoliosis: A Case Study

Magnet-driven growth rods are effective, less invasive for select patients

17-ORT-1802-CQD-veryCompsnFractr2_650x450
April 12, 2018/Orthopaedics/Spine
Balloon Kyphoplasty for Intractable Pain in Pediatric Vertebral Fracture

Percutaneous vertebral augmentation proves safe and effective

17-ORT-1002-Gurd-Hero-Image-650x450pxl
November 13, 2017/Orthopaedics/Spine
Pedicle Screw Placement with Patient-Specific Navigation

Improved accuracy and fixation strength in spine surgery

Hip replacement and heart illustration
November 17, 2025/Orthopaedics/Hip & Knee
Patients With Heart Failure Report Excellent Outcomes After Hip or Knee Replacement

Multidisciplinary care can make arthroplasty a safe option even for patients with low ejection fraction

Ad