Locations:
Search IconSearch
February 11, 2025/Orthopaedics/Upper Extremity

4 Types of Distal Radius Fractures: Variations in Surgical Treatment

A hand and wrist surgeon explains different approaches based on nature and severity of injury

X-ray of a broken wrist

By Youssra Marjoua, MD

Advertisement

Cleveland Clinic is a non-profit academic medical center. Advertising on our site helps support our mission. We do not endorse non-Cleveland Clinic products or services. Policy

Distal radius fractures remain one of the most commonly encountered musculoskeletal injuries, representing a spectrum of pathologies from simple extra-articular fractures to complex intra-articular and comminuted fractures.

Hand and wrist surgeons recognize that the decision-making process for surgical intervention must be nuanced, reflecting not only the fracture pattern but also the patient’s expectations, bone quality and functional demands.

Here, we discuss the different fracture patterns, surgical indications and variations in surgical strategies for distal radius fractures, with a focus on advanced treatment modalities and the importance of tailoring management to the specific characteristics of the patient and injury.

1. Extra-articular distal radius fractures

Extra-articular fractures are among the most common distal radius fractures. They do not involve the articular surface of the radiocarpal joint. Most often they are caused by low-energy falls, such as falls from standing in patients with osteopenic or osteoporotic bone. These injuries are consistent with fragility fractures. Extra-articular fractures also can occur in a younger patient population, generally from high-energy mechanisms, such as falls from a height (e.g., ladder), sports-related injuries and motor vehicle accidents.

X-ray of broken wrist
Extra-articular fracture

While often less complex than intra-articular fractures, these injuries still require careful assessment. Nonoperative treatment is effective for stable, nondisplaced fractures, while surgical intervention (e.g., open reduction and internal fixation or external fixation) is necessary for displaced, unstable or comminuted fractures.

Advertisement

Surgeons must consider the fracture’s characteristics as well as the patient’s age, bone quality and functional demands to determine the most appropriate treatment. With early and appropriate intervention, most patients with extra-articular distal radius fractures can expect a good functional outcome.

2. Radiocarpal fracture-dislocations

Radiocarpal fracture-dislocations are complex and potentially devastating injuries that involve both a fracture and dislocation of the radiocarpal joint. These injuries are often the result of high-energy trauma, such as motor vehicle accidents or falls from height.

They may be associated with significant soft tissue injuries (including soft tissue and ligament disruption) as well as neurovascular injury. Early diagnosis and appropriate management are crucial to achieving optimal functional outcomes and minimizing long-term complications such as arthritis, chronic instability and compromised wrist function.

X-ray of broken wrist
Radiocarpal fracture-dislocation

Initial management includes a thorough clinical exam, assessment of the soft tissue envelope and detailed neurovascular exam. Fracture reduction and manipulation should be attempted if the fracture is reducible, particularly to offload the soft tissue envelope while definitive management is planned.

Given the unstable nature of these injuries, surgical fixation is typically indicated to restore stable anatomic alignment. This may involve the use of volar locking plates, dorsal spanning plate fixation versus external fixation, or fragment-specific fixation depending on the fracture pattern, associated ligamentous injuries and bone quality.

Advertisement

Postoperatively, the wrist is generally immobilized. The duration of immobilization depends on the fracture complexity, fixation construct and patient factors. Postoperative rehabilitation is critical to restoring function and minimizing complications.

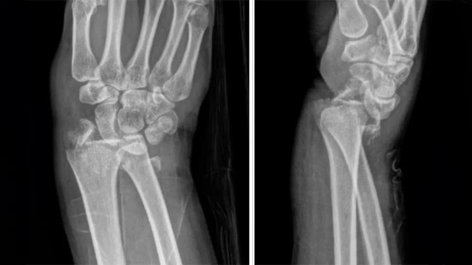
3. Intra-articular distal radius fractures with a volar marginal fragment

Intra-articular distal radius fractures are complex injuries involving the articular surface of the distal radius. They often lead to joint instability, functional impairment and long-term complications like arthritis.

A subset of these fractures involves a volar marginal fragment, a distinct pattern of intra-articular distal radius fractures that requires careful attention. This type of fracture is particularly challenging as it is often intraoperatively missed due to its small size and volar extrinsic ligament attachments. Failing to capture this fragment with internal fixation creates the potential for joint incongruity and persistent instability.

X-ray of broken wrist
Intra-articular fracture with volar marginal fragment

In addition to X-ray imaging, preoperatively these fractures often benefit from CT imaging to better visualize the fracture configuration, particularly the volar marginal fragment. CT imaging also is useful in determining the degree of comminution and the potential need for fragment-specific fixation.

Given the inherently unstable nature of these injuries, surgical fixation is generally recommended. I perform an extended flexor carpi radialis approach for these fractures to achieve adequate visualization of the central column and the volar marginal fragment, which aids in achieving an accurate reduction of the fracture. Fixation of this fracture pattern often entails use of a volar locking plate with or without additional miniplates, screws or K-wires to stabilize the volar marginal fragment while restoring articular congruency.

Advertisement

Postoperatively, we follow these cases more closely with X-ray imaging and clinical exam to confirm maintenance of fracture reduction and appropriate progress with range of motion.

4. Comminuted intra-articular distal radius fractures

Comminuted intra-articular distal radius fractures are among the most challenging injuries encountered in orthopaedic practice. These fractures typically result either from high-energy trauma, such as falls from significant heights or motor vehicle accidents, or from low-energy falls in patients with osteopenic or osteoporotic bone.

These fracture patterns involve significant disruption of the distal radius, with multiple fracture fragments that extend into the radiocarpal joint, compromising the articular surface. The complexity of the injury often leads to poor functional outcomes if not properly managed.

Early recognition, precise fracture reduction and stable fixation are critical for optimizing wrist function and preventing long-term complications, such as post-traumatic arthritis and joint instability.

In addition to X-ray imaging at the time of injury, a CT scan is often necessary for comminuted intra-articular fractures. It allows for more detailed visualization of the fracture fragments, especially when there is concern about the exact alignment of the articular surface and the degree of comminution. A CT scan also is helpful for selecting the type of fixation.

X-ray of broken wrist
Comminuted intra-articular fracture

Surgical treatment is often recommended for these fractures given their poor prognosis with nonoperative management. Depending on the fracture pattern, fixation can be achieved with a volar approach, a dorsal approach or arthroscopic-assisted fixation. I prefer a volar approach coupled with dry arthroscopic-assisted fixation. This approach significantly improves the accuracy of recreation of the articular surface while allowing for full assessment of any associated soft tissue injury, such as tears in the scapholunate ligament or triangular fibrocartilage complex.

Advertisement

Addressing associated carpal tunnel syndrome

For all distal radius fractures except the most common extra-articular fractures, I assess for carpal tunnel symptoms preoperatively.

Carpal tunnel syndrome can occur particularly in fractures that result from high-energy mechanisms or in the setting of significant fracture displacement. Patients generally present with paresthesias in the median nerve distribution (thumb, index, middle and radial aspect of ring finger) arising after injury.

If I suspect the presence of carpal tunnel syndrome, a key decision revolves around whether to manage it conservatively or proceed with surgery. This decision is influenced by acuity and persistence of symptoms despite an appropriate reduction, edema control and splint management.

In patients with a distal radius fracture and concurrent carpal tunnel syndrome that persists despite conservative measures, I prefer to perform an endoscopic carpal tunnel release at the time of surgical fixation of their fracture. The advantages of an endoscopic carpal tunnel release include reduced soft tissue dissection and, therefore, reduced morbidity of surgery in a setting that requires open surgery for fracture fixation. This minimally invasive approach (involving a 1 cm incision ulnar to the distal radius exposure) avoids a palmar incision that could increase the risk of postop pain and lead to delayed rehab. It is always possible that an endoscopic carpal tunnel release would need to be converted to an open procedure particularly in the trauma setting.

When to proceed with surgery

Distal radius fractures are among the most common fractures, and treatment often requires balancing functional recovery, preventing complications and minimizing the risk of long-term disability.

The nature and severity of the fracture is paramount in determining whether surgery is needed. However, the decision to proceed with surgery should always consider the patient’s functional demands, comorbid conditions and expectations.

Dr. Marjoua is staff in the Department of Orthopaedic Surgery at Cleveland Clinic. She specializes in hand and wrist surgery.

Related Articles

Woman holding knee
January 8, 2026/Orthopaedics/Sports Health
ACL Injuries in Female Athletes: Understanding the Higher Risks and Lower Return-to-Play Rates

Systematic review of MOON cohorts demonstrates a need for sex-specific rehab protocols

Total hip replacement
December 31, 2025/Orthopaedics/Hip & Knee
3 Innovations That Are Improving Precision in Direct Anterior Hip Arthroplasty

Should surgeons forgo posterior and lateral approaches?

Chiropractic care
December 29, 2025/Orthopaedics/News & Insights
Collaborative Musculoskeletal Care: The Role for Chiropractors

How chiropractors can reduce unnecessary imaging, lower costs and ease the burden on primary care clinicians

Physician manipulating patient's shoulder
December 24, 2025/Orthopaedics/Sports Health
Adolescent Shoulder Dislocations: The Case for Earlier Surgical Intervention

Why shifting away from delayed repairs in high-risk athletes could prevent long-term instability and improve outcomes

Hip replacement and heart illustration
November 17, 2025/Orthopaedics/Hip & Knee
Patients With Heart Failure Report Excellent Outcomes After Hip or Knee Replacement

Multidisciplinary care can make arthroplasty a safe option even for patients with low ejection fraction

Lesion in acetabulum
November 3, 2025/Orthopaedics/Tumor
Fighting Pain and Fracture: Improving the Care of Metastatic Acetabular Lesions

Percutaneous stabilization can increase mobility without disrupting cancer treatment

Ceramic hip resurfacing implant
October 29, 2025/Orthopaedics/Hip & Knee
Ceramic Implant for Hip Resurfacing May Be Better for Patients With Smaller Hips

Study shows that postop function is closer to normal than with total hip arthroplasty

Physician examining patient's elbow
October 10, 2025/Orthopaedics/Sports Health
Managing Elbow Osteoarthritis: Innovative Non-Surgical Approaches

A tailored approach combining injections, therapy and preventive care is improving outcomes for patients with elbow OA

Ad