Locations:
Search IconSearch

Case Study: Unraveling IgG4-Related Disease

From dryness to diagnosis

Patient with swollen throat

By Komal Ejaz, MD, and Ambreesh Chawla, MD

Advertisement

Cleveland Clinic is a non-profit academic medical center. Advertising on our site helps support our mission. We do not endorse non-Cleveland Clinic products or services. Policy


IgG4-related disease is a rare autoimmune condition that affects multiple organ systems, including the salivary and lacrimal glands, thyroid gland, pituitary gland, pancreas, biliary tree, aorta, breast and other organs.1 In most cases, if one organ system is found to be involved, screening for additional organ involvement is prudent.

Here we discuss a case of IgG4-related disease in 67-year-old female, for whom additional screening revealed multisystem involvement.

Case presentation

The patient was referred to Rheumatology due to concerns for Sjögren’s disease because of Sicca symptoms and glandular enlargement. She presented after noticing gradual onset swelling of her neck without any associated pain. Her medical history was notable for endometrial clear-cell adenocarcinoma (status post-surgical resection and chemotherapy), osteoarthritis, hypertension, epilepsy and migraines.

An initial computed tomography [CT] scan of her neck showed bilateral enlarged submandibular glands with no ductal dilatation or submandibular stones. She was referred to Otolaryngology, and a submandibular massage was performed. This slightly improved her swelling, but it returned within a week.

The patient later noted new symptoms of dry eyes and dry mouth. Because of her Sicca symptoms and the persistence of submandibular swelling, she was referred to Rheumatology for evaluation for Sjögren’s disease.

During the initial Rheumatology visit, the patient was found to have elevated ESR of 49 mm/hr and C-reactive protein of 1.8 mg/dL. Given the Sicca symptoms and glandular swelling, lupus and Sjögren’s syndrome were considered, but the workup showed negative anti-nuclear antibody (ANA) and extractable nuclear antigen (ENA). Rheumatoid factor was 17 with a negative anti-cyclic citrullinated peptide (anti-CCP).

Advertisement

Further workup revealed an IgG total of 2009 mg/dL and IgG4 subclass at 535 mg/dL. The patient’s IgE level was high at 626 kU/l, complement 3 (C3) was high at 224 and complement 4 (C4) was high at 49. She was referred for fine-needle aspiration of the right submandibular gland, which showed a polymorphous population of lymphoid cells with scattered plasma cells; staining for CD138 and IgG4 was suboptimal.

The patient continued to report worsening submandibular swelling [top image] and was referred for an incisional biopsy of the submandibular gland. This revealed chronic sclerosing sialadenitis with marked fibrosis in a perilobular pattern, dense lymphoplasmacytic infiltrate, and polyclonal plasmacytosis. Most of the plasma cells stained positive for IgG and the majority were positive for IgG4 (171 IgG4-positive plasma cells per high power field seen; IgG4:IgG ratio = 105%).

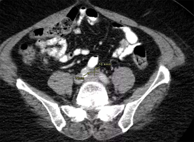
CT imaging of the patient’s chest revealed pulmonary nodules and axillary lymphadenopathy. Imaging of her abdomen revealed a 22.4 mm x 18.1 mm soft-tissue lesion between the proximal common iliac arteries, eccentric soft-tissue thickening along the left anterolateral wall of the abdominal aorta, and mild infiltration adjacent to the distal abdominal aorta, which was concerning for retroperitoneal fibrosis (Figure 3). Subtle haziness adjacent to the pancreatic tail was also seen, which raised the possibility of autoimmune pancreatitis. 

xray
Figure 3. CT abdomen showing a 22.4 mm x 18.1 mm soft tissue lesion between the proximal common iliac arteries, eccentric soft tissue thickening along the left anterolateral wall of the abdominal aorta, and mild infiltration adjacent to the distal abdominal aorta concerning for retroperitoneal fibrosis.

The patient was diagnosed with IgG4-related disease and started on prednisone 40 mg along with rituximab. Two infusions of 1 gram of rituximab were given two weeks apart. Prednisone was tapered slowly over the next four months.

Advertisement

Within two months, the patient’s IgG4 levels normalized to 55.8 mg/dL. She had almost complete resolution of submandibular gland swelling [Figure 2].

Decreased throat swelling
Figure 2: The neck swelling resolved after treatment.

CT imaging of her abdomen after treatment showed decreased soft-tissue thickening caudal to the aortic bifurcation and along the left lateral inferior wall (Figure 4) with interval atrophy of pancreatic body and tail corresponding with clinical response. 

CAT scan showing decrease in size of soft tissue thickening
Figure 4: CT abdomen showed interval decrease in size of soft tissue thickening caudal to the aortic bifurcation and along the left lateral inferior wall.

Discussion

Histopathologic findings of IgG4-related disease are similar irrespective of the involved organ system. They include lymphoplasmacytic infiltrate, obliterative phlebitis, storiform pattern fibrosis, and the presence of IgG4-positive plasma cells with IgG4/IgG ratio >40% and total IgG4 plasma cells > 10/high power field.1

While elevated plasma IgG4 levels can be a helpful indicator, it is important to note that they are neither sensitive nor specific for diagnosis of IgG4-related disease, and pathology remains the gold standard.2 Normal IgG4 levels have been reported in nearly a quarter of cases.3

Other pertinent findings include eosinophilia, elevated IgE levels, high circulating plasmablasts, and low C3 and C4, particularly with renal involvement.

Clinical observation is often sufficient for patients with asymptomatic IgG4-related disease. Even mild lymphadenopathy and submandibular gland swelling can be longitudinally followed.

However, glucocorticoids are the mainstay of therapy in cases with multisystem or severe involvement, such as in our patient with impressive submandibular gland swelling, retroperitoneal fibrosis, and potential pancreatic involvement.

Advertisement

While response is typically quick with glucocorticoids, tapering is often linked to disease relapses.2 This is where steroid-sparing agents are considered, and medications — including methotrexate, mycophenolate, azathioprine and cyclophosphamide — have been used.4 Emerging data indicate both clinical and laboratory improvement in IgG4 levels and circulating plasmablasts may be seen with rituximab in IgG4-related disease.5 In some cases, a single cycle is sufficient, although maintenance therapy may be needed and there is a high risk of relapse or organ dysfunction.

Learning points

  • IgG4-related disease is a systemic disease characterized by tissue infiltration by IgG4-positive plasma cells and enlargement of affected organs.
  • Approximately 40% of patients present with predominantly one organ involved, and 60% of patients have multiorgan involvement.
  • Salivary gland disease in IgG4-related disease typically affects the submandibular gland more commonly than the parotid gland. This was previously called Mikulicz disease.
  • In patients with Sicca and salivary glandular enlargement, IgG4-related disease should always be on the differential (along with sarcoidosis, amyloidosis, diffuse idiopathic lymphocytosis syndrome, hepatitis C infection and viral infections).
  • Clinical findings and imaging, including CT, MRI and PET scans, can help define the extent of the disease.
  • While serum elevations of IgG4 are non-diagnostic for IgG4-related disease, serum IgG4 can be a helpful biomarker once the diagnosis has been made.
  • Outside of Sjögren’s, IgG4-related disease may also share similar clinical features to granulomatosis polyangiitis, including but not limited to vasculitis, pulmonary disease, renal disease, orbital mass, and pachymeningitis. The presence of neutrophils and necrosis on biopsy favor GPA over IgG4-related disease.

Advertisement

Notes

1. Khosroshahi, A., Carruthers, M. N., Deshpande, V., Unizony, S., Bloch, D. B., & Stone, J. H. (2012). Rituximab for the treatment of IgG4-related disease: lessons from 10 consecutive patients. Medicine91(1), 57-66.2.

2. Al-Khalili, O. M., & Erickson, A. R. (2018). IgG-4 related disease: an introduction. Missouri medicine115(3), 253.

3. Sekiguchi, H., Horie, R., Kanai, M., Suzuki, R., Yi, E. S., & Ryu, J. H. (2016). IgG4‐related disease: retrospective analysis of one hundred sixty‐six patients. Arthritis & Rheumatology68(9), 2290-2299.

4. Khosroshahi, A., Wallace, Z. S., Crowe, J. L., Akamizu, T., Azumi, A., Carruthers, M. N., ... & Stone, J. H. (2015). International consensus guidance statement on the management and treatment of IgG4‐related disease. Arthritis & rheumatology67(7), 1688-1699.

5. Carruthers, M. N., Topazian, M. D., Khosroshahi, A., Witzig, T. E., Wallace, Z. S., Hart, P. A., ... & Stone, J. H. (2015). Rituximab for IgG4-related disease: a prospective, open-label trial. Annals of the rheumatic diseases74(6), 1171-1177.

Related Articles

MRI scan of the side of a human head
February 20, 2026/Neurosciences/Cerebrovascular

Susac Syndrome: Insights on Rare Endotheliopathy From Largest Single-Center Cohort to Date

Distinct MRI signature includes lesions beyond the corpus callosum, features predictive of vision and hearing loss

two brain MRIs side by side

Brain Volume Changes and Disability in MOGAD: Defining Differences From Other Demyelinating Diseases

Despite less overall volume loss than in MS and NMOSD, volumetric changes correlate with functional decline

Dr. Amy Kunchok against decorative background
July 16, 2024/Neurosciences/Podcast

What to Know About Myelin Oligodendrocyte Glycoprotein Antibody Disease (MOGAD) (Podcast)

It’s time to get familiar with this emerging demyelinating disorder

neuron affected by neuromyelitis optica

Novel Monoclonal Antibodies for NMOSD Show Strong Efficacy and Safety in Real-World Study

Early experience with the agents confirms findings from clinical trials

23-NEU-4424570-CQD-Hero-650×450-Podcast
February 5, 2024/Neurosciences/Podcast

Diagnosis and Management of Neuromyelitis Optica Spectrum Disorder (Podcast)

Despite advancements, care for this rare autoimmune disease is too complex to go it alone

esophageal plaques

Esophageal Plaques and Systemic Sclerosis

Treatment for scleroderma can sometimes cause esophageal symptoms

20-RHE-2006260-Langford_VEXAS-syndrome-CQD-650×450 play

Case Study: Making the VEXAS Diagnosis (Video)

Patient’s symptoms included periorbital edema, fevers, weight loss

Eosinophilic Fasciitis
November 29, 2022/COVID-19

New Onset Eosinophilic Fasciitis after COVID-19 Infection

Could the virus have caused the condition or triggered previously undiagnosed disease?

Ad