Locations:
Search IconSearch
October 16, 2025/Cancer

Lymphovascular Invasion a Strong Predictor of Poor Prognosis in Cutaneous Squamous Cell Carcinoma

Early detection, prognostication and intervention may improve outcomes

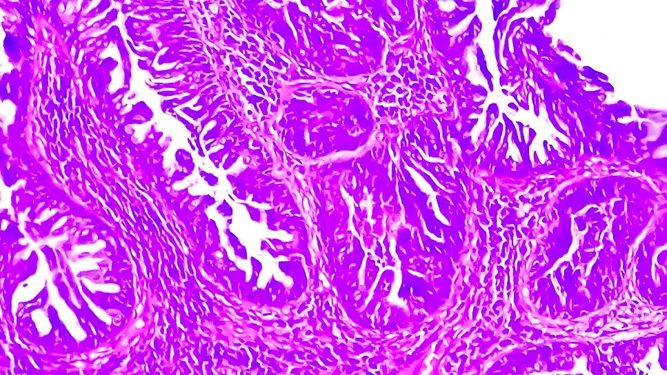
Squamous cell carcinoma

Lymphovascular invasion (LVI) is not part of the two most commonly used squamous cell carcinoma staging (cSCC) systems. However, this invasion of cancer to the blood vessels and/or lymphatics is an independent predictor of metastasis and disease-specific death, according to a major international study. The findings were published in the Journal of the American Academy of Dermatology.

Advertisement

Cleveland Clinic is a non-profit academic medical center. Advertising on our site helps support our mission. We do not endorse non-Cleveland Clinic products or services. Policy

“The Brigham & Women's (BWH) and American Joint Committee on Cancer (AJCC) staging systems do a good job of predicting outcomes for cutaneous squamous cell carcinoma. However, we believe that we can improve on prognosticating to determine which tumors need more aggressive treatment,” says study co-author Allison T. Vidimos, RPh, MD, a dermatology specialist with Cleveland Clinic Cancer Institute.

Background

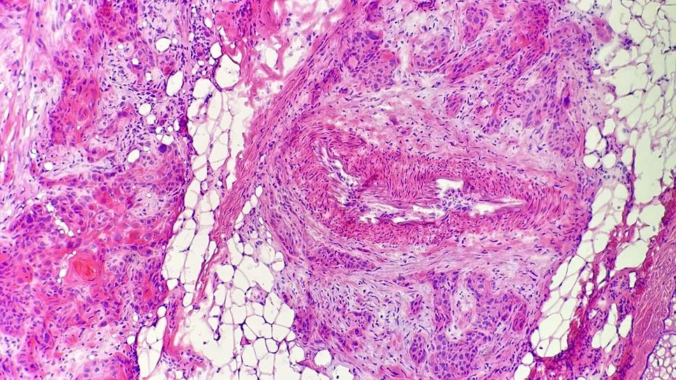
CSCC usually is highly treatable with favorable outcomes, but in a small percentage of cases, patients who have high-risk features such as poorly differentiated histopathology, deep invasion or perineural invasion (PNI) do not fare as well. LVI is rare, so to date it’s been unclear what its full impact is on patient outcomes.

LVI can be elusive and difficult to identify on histopathology. Typically, Mohs surgeons check the edges of the excision of a cSCC tumor to confirm they’ve removed all abnormal cells, but LVI may be at the center of the tumor (i.e., the nonmarginal skin) and therefore may be missed using this approach.

“If we don't know that squamous cell carcinoma has invaded the blood or lymphatic vessels, we're not going to be prompted to do imaging or lymph node sampling,” says Dr. Vidimos. “We’ll have a false sense of security that the cancer is all out, when LVI could be lurking in the nonmarginal tissue, which can portend a more aggressive tumor.”

As new therapies such as the immunotherapy cemiplimab have received FDA approval for treating patients with locally advanced or metastatic cSCC who are not candidates for curative surgery or curative radiation, it’s become even more important to identify patients early on who may be candidates for more extensive evaluation, aggressive treatment and closer follow up.

Advertisement

Study design

LVI had already been identified as a predictor of cSCC-specific death in small cohorts. Building on this work, Cleveland Clinic Cancer Institute and Brigham & Women’s Hospital initiated a retrospective analysis of patients with cSCC who were treated at various academic and regional medical centers. Their work became the largest retrospective study assessing the role of LVI in disease outcomes.

“There’s power in numbers,” says Dr. Vidimos. “The more tumors we evaluate in different practice settings, the better we can determine how best to treat patients.”

Ten practices in the U.S., one in Spain and one in Brazil participated in the research, sharing de-identified patient data, including:

  • Demographics
  • Tumor risk factors, including histologic differentiation, LVI status, PNI status, tumor size and depth of invasion
  • Radiologic data, including type of imaging used
  • Treatment regimen
  • Outcomes, including nodal metastasis, in-transit metastasis, distant metastasis and disease-specific death

The collective database represented 23,166 tumors from 14,825 patients. The researchers used means, medians and interquartile analysis of the statistics. They assessed associations between relevant variables and LVI status, taking into account patients with multiple tumors.

In addition to participating in the study, the researchers in this cSCC consortium regularly meet to share data and insights. "It's uplifting to see how generous our collaborators are with their time," says Dr. Vidimos. "Everyone is working together to figure out how to optimally treat these cSCC patients. That's been a real gift to all of us and the patients we serve."

Advertisement

Study findings

Although LVI tumors were rare (representing 7.7% of all tumors in the collective database), patients who had these had an 82% increase in poor outcomes, including three times the risk of local recurrence and ten times the risk of metastasis and disease-related death compared to non-LVI tumors. Patients with LVI+ tumors were also more likely to have nodal positivity after lymphadenectomy compared to those with LVI- tumors. “Even in patients with only one worrisome feature, that single finding of LVI made the outcome much worse,” says Dr. Vidimos.

These findings were consistent across low- and high-grade BWH tumors. Low-stage BWH tumors (T1 or T2a) that were LVI+ had poorer outcomes compared to low-stage BWH tumors (20.8 vs. 1.61% at three years) that were LVI-. There were no notable differences in sex, age or immunocompromised status between the LVI+ and LVI- groups.

Analysis of baseline imaging showed that 12.3% of LVI+ tumors showed metastases compared to 1% of LVI- tumors. “Nearly 40% of LVI+ tumors were classified as low BWH stage and over 20% of those tumors had a major poor outcome at a three-year follow-up, emphasizing that LVI inclusion as a high-risk variable in staging systems would upstage a significant portion of LVI+ tumors with prognostic implications,” the study authors noted.

These findings demonstrate the importance of performing advanced imaging at baseline as well as regular surveillance in cSCC cases with LVI.

Dr. Vidimos noted some limitations of the study, including variability in clinical practice across centers. Additionally, detecting LVI in frozen sections and on permanent histology sections is a challenge. This may have led to underreporting.

Advertisement

New cSCC risk-assessment app

To help with identification of high risk cSCC patients to optimize evaluation, treatment and follow up, this cSCC data was used to develop a free app called riSCC. Clinicians enter a patient’s age; gender; immunosuppression status; tumor location, size and differentiation; tumor depth; presence of PNI or LVI and whether the cSCC is recurrent or not. The app then calculates the probability that the tumor will recur locally, develop in-transit metastases, metastasize to the lymph nodes or to distant sites or cause disease-specific death following Mohs surgery or excision.

Discussion points

This study revealed several recommendations for improving diagnosis and treatment, including:

Proactively looking for LVI. At Cleveland Clinic, Mohs surgeons send a sample of the nonmarginal tissue of high-risk CSCC tumors to pathology to check for concerning features such as LVI and PNI that may prompt additional imaging, adjunctive treatment and closer follow up. If further treatment is warranted, the patient may receive adjuvant radiation or immunotherapy following surgery based on imaging and pathology of metastases.

Seeking guidance from a radiologist to choose the appropriate imaging study to identify PNI and metastatic spread. “Radiologists can assist in the choice of the optimal imaging study (e.g., MRI, CT, PET CT or ultrasound) and protocol the imaging studies to better see what you’re asking them to look for, such as PNI, bone invasion, lymph node spread or distant tumor spread,” says Dr. Vidimos.

Providing insight to the radiologist about clinical concerns when ordering scans. “Sometimes abnormal radiologic findings are very subtle, so it’s crucial to share any clinical suspicions that will help the radiologist make an accurate interpretation,” says Dr. Vidimos. In one study, subtle perineural invasion was missed on imaging studies 79% of the time when radiologists weren’t prompted to look for it. To that end, it is essential to communicate the location of the tumor; prior treatments; and pertinent concerning history, histologic or clinical findings (deep tumor invasion, LVI, PNI, sensory or motor nerve deficits and/or significant physical exam findings).

Advertisement

Next steps

Based on the study outcomes, there is a need to refine the current cSCC staging systems for improved prognostication, which is in process by the cSCC consortium. In addition, the research team is performing a validation study for the riSCC app.

Related Articles

Dr. Jame Abraham
October 20, 2025/Cancer/News & Insight
Trastuzumab Deruxtecan Improves Invasive Disease-Free Survival of Early-Stage HER+ Breast Cancer by 53%

International study supports change in clinical care in post-neoadjuvant setting

Dr. Khouri and patient
October 15, 2025/Cancer/News & Insight
BCL-2 Inhibition in Plasma Cell Disorders: The Work Continues

Preliminary results suggest combination therapy with lisaftoclax improves survival with few adverse events in patients with AL amyloidosis and relapsed/refractory multiple myeloma

Head and neck cancer illustration
October 6, 2025/Cancer/Radiation Oncology
Blood-Based Assay Shows Promise for Personalizing Treatment in Head and Neck Cancer

New research demonstrates that cfDNA methylation patterns may noninvasively identify tumor hypoxia in head and neck squamous cell carcinoma

Head & neck image contouring
October 3, 2025/Cancer/Radiation Oncology
Subspecialty Peer Review Improves Consistency, Quality and Safety in Head and Neck Radiation Therapy

Program reduces major contour changes and variations in organ-at-risk dosing across health system

Breast radiation therapy
October 2, 2025/Cancer/Radiation Oncology
Study Confirms Breast Volume Preservation with Five-Day Radiation Therapy

No significant differences seen in breast volume loss between whole and partial breast treatment approaches

CT scan after prostate brachytherapy
October 1, 2025/Cancer/Radiation Oncology
Clinical Outcomes for AI vs. Physician-Drawn Contours After Prostate Brachytherapy Comparable

Despite wide variations in contours, researchers find AI and physician methods yield equivalent results.

Dr. Mustafa Ali and patient
September 30, 2025/Cancer/News & Insight
Cytogenetic Response to Treatment Correlates With Long-Term Survival of Patients With Acute Myeloid Leukemia

New system refines classification of cytogenetic abnormalities at time of response assessment and their clinical significance

Ad