Locations:
Search IconSearch

Myocardium Histology Predicts Long-Term Outcomes of Obstructive Hypertrophic Cardiomyopathy

High composite score in myectomy specimens signals worse prognosis

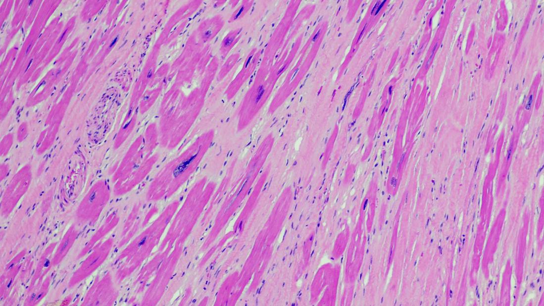
histopathologic image of tissue from a hypertrophied heart

Histopathologic analysis of myocardial tissue may have value for predicting long-term prognosis and tailoring treatment in patients with symptomatic obstructive hypertrophic cardiomyopathy (HCM).

Advertisement

Cleveland Clinic is a non-profit academic medical center. Advertising on our site helps support our mission. We do not endorse non-Cleveland Clinic products or services. Policy

That’s a key conclusion from an observational Cleveland Clinic study of the associations between histology and outcomes of surgical myectomy for obstructive HCM. The study was presented at the American Heart Association Scientific Sessions 2024 and simultaneously published in JACC: Heart Failure.

“We found that a higher histologic score was independently associated with worse long-term outcomes in patients with obstructive hypertrophic cardiomyopathy,” says senior author Milind Y. Desai, MD, MBA, Director of Cleveland Clinic’s Hypertrophic Cardiomyopathy Center. “This score could potentially serve as a primordial tool to confirm the diagnosis and reduce misdiagnoses and subsequent inappropriate treatment.”

Histology: an untapped prognostic resource in HCM

HCM is a chronic, progressive condition characterized by excessive contractions that cause heart muscle to thicken. In its obstructive form, the wall of the septum can become thick enough to obstruct outflow from the left ventricle to the aorta.

Typical cardiac findings in patients with HCM include left ventricular (LV) hypertrophy, microvascular ischemia, diastolic dysfunction and arrhythmogenicity. The histologic hallmarks of these changes are myocyte hypertrophy, myocyte disarray, interstitial fibrosis and small intramural coronary artery dysplasia.

Histopathologic analysis is routinely performed on tissue specimens from surgical myectomy performed on patients with obstructive HCM. Follow-up on the results is important since postsurgical results point to a different etiology in approximately 20% of cases, as demonstrated in an earlier Cleveland Clinic study.

Advertisement

The prognostic value of histologic findings for HCM has yet to be fully explored. The new research aimed to address that gap with a detailed analysis of pathologic specimens from the basal interventricular septum of patients undergoing surgical myectomy to relieve symptomatic left ventricular outflow tract (LVOT) obstruction.

“Histopathologic characteristics that contribute to the pathophysiology of obstructive hypertrophic cardiomyopathy have been well described,” says Dr. Desai, “but we lack data on the association of these characteristics with clinical outcomes because of limited access to myocardial tissue.”

Study design at a glance

The study used surgical specimens from 1,722 patients with symptomatic HCM who underwent surgical myectomy at Cleveland Clinic from 2005 to 2018. Mean (± SD) age was 56 ± 14 years, and 55% of patients were male.

The major criterion for HCM was LV wall thickness ≥ 15 mm in the absence of any other disease on comprehensive echocardiograms performed with commercially available instruments. In patients with borderline LV wall thickness (~15 mm), the presence of resting/provocable LVOT obstruction (LVOT gradient ≥ 30 mm Hg) also contributed to the diagnosis, which was made by experienced cardiologists.

“We excluded patients who underwent surgical myectomy for a ‘clinical’ diagnosis of hypertrophic cardiomyopathy but whose histopathology was inconsistent with it,” notes Dr. Desai. “They had alternate etiologies associated with symptomatic left ventricular outflow tract obstruction.”

Advertisement

Findings from histologic analysis of the surgical specimens were graded on a scale of 0 to 3 (none, mild, moderate, severe), and a score from 0 to 12 was calculated. A composite of death, appropriate defibrillator discharge or cardiac transplantation during follow-up served as the primary endpoint.

Key findings

Mean total histologic score for the specimens was 5.1 ± 1.4. Individual histologic characteristics were displayed by the following proportions of patients:

  • Myocyte hypertrophy in 78%
  • Myocyte disarray in 14%
  • Interstitial fibrosis in 26%
  • Small intramural coronary artery dysplasia in 15%

At mean follow-up of 5.1 ± 1.5 years, 352 primary composite events had occurred, including 317 deaths, for incidences of 20% and 18%, respectively.

The authors found an association between primary events and a histologic score > 5 on spline analysis. Results from Kaplan-Meier analysis were similar: The incidence of primary events was significantly higher among patients with scores > 5 (25%) vs. ≤ 5 (18%) (log-rank P = .002). Multivariable Cox analysis showed that scores > 5 were independently associated with a higher incidence of primary events (hazard ratio = 1.24; 95% CI, 1.03-1.54; P = .03).

“In addition to finding that a total histologic score greater than 5 has incremental prognostic value, we found that it was significantly associated with arrhythmias like atrial fibrillation and nonsustained ventricular tachycardia,” Dr. Desai notes. “Also, in the subgroup of patients who underwent cardiac magnetic resonance imaging, gadolinium enhancement was more prevalent among those with scores greater than 5 than among those with scores less than 5.”

Advertisement

Implications for subsequent management and prognosis

The authors underscore that, despite contemporary advanced imaging, some patients believed to have HCM may be incorrectly diagnosed. Postoperative evaluation of histologic findings may help confirm the diagnosis and ensure appropriate subsequent treatment. “Assessment of histologic findings can also guide family screening and counseling when appropriate,” Dr. Desai adds.

Moreover, the total histologic score can potentially yield incremental prognostic value following myectomy, depending on the extent of abnormalities found.

“Our research suggests the potential for incorporating the total histologic score into pathology reports for patients undergoing surgical myectomy so that clinicians can advise patients about future risk,” observes study co-author Nicholas Smedira, MD, MBA, Surgical Director of the Center for Hypertrophic Cardiomyopathy. “The score has a much stronger association with longer-term outcomes than individual histologic findings do.”

Advertisement

Related Articles

imaging study of the heart with scales of justice overlay balancing male and female symbols

Mavacamten’s Benefits Are Not Sex-Dependent and Include Sustained Cardiac Remodeling

End-of-treatment VALOR-HCM analyses reassure on use in women, suggest disease-modifying potential

Dr. Zahka with a young patient
September 29, 2025/Pediatrics/Cardiology

New Insights About the Effects of Valsartan on Early-Stage Hypertrophic Cardiomyopathy

Cardiac imaging substudy is the latest paper originating from the VANISH trial

doctor explaining a heart model to a patient

Asymptomatic Hypertrophic Cardiomyopathy: Insights on Long-Term Outcomes and More

Vigilance for symptom emergence matters, a large 20-year analysis reveals

imaging study of a heart with nonobstructive hypertrophic cardiomyopathy

Myosin Inhibitor for Nonobstructive HCM: No Clinical Benefits but Positive Biomarker and Echo Effects

Phase 3 ODYSSEY-HCM trial of mavacamten leaves lingering questions about potential broader use

electrocardiogram tracing

AI-Enhanced ECG Analysis Shows Strong Accuracy in Detecting Hypertrophic Cardiomyopathy

5% of flagged ECGs in real-world study were from patients with previously undiagnosed HCM

Obstructive hypertrophic cardiomyopathy

REMS Update: Mavacamten Still Effective in Treating Real-World Patients With HCM

Few patients report left ventricular dysfunction or heart failure after one year

cardiac MRI showing obstructive hypertrophic cardiomyopathy

Final VALOR-HCM Report: At 128 Weeks, Mavacamten Sustains Gains in HCM Patients

Avoidance of septal reduction therapy continues while LVEF dysfunction remains infrequent

left ventricular apex in heart affected by hypertophic cardiomopathy

Registry Study Identifies Hallmarks of Apical Hypertrophic Cardiomyopathy

New risk score pools factors that may predict adverse outcomes in the uncommon phenotype

Ad