Locations:
Search IconSearch

The Leg Bone’s Connected to the Arm Bone: Surgeons Use Fibula to Reconstruct Humerus in Unique Pediatric Sarcoma Case

Orthopaedic oncologist discusses the complex case

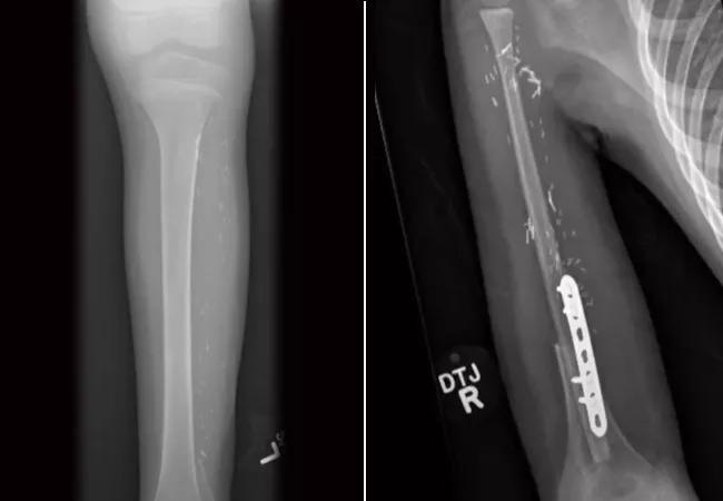
21-ORT-2083511-Humerus-Osteoasarcoma-Using-Fibula

Nathan Mesko, MD, an orthopaedic oncologist at Cleveland Clinic, says his job often requires creative solutions to restore function.

Advertisement

Cleveland Clinic is a non-profit academic medical center. Advertising on our site helps support our mission. We do not endorse non-Cleveland Clinic products or services. Policy

This was certainly true in a recent case when a 5-year-old patient presented to Cleveland Clinic with substantial swelling in his right shoulder, his dominant arm. A thorough workup revealed that the patient had humeral osteosarcoma. The pediatric oncology team began chemotherapy immediately, and the tumor responded nicely over several months. Next, was Dr. Mesko’s challenge.

“The challenge of reconstruction was to provide this energetic, fun-loving 5-year-old with an arm that allowed his humerus and elbow to serve as a working platform for his hand while saving all of the important nerves and blood vessels in his arm, giving him a chance at some form of growth in that arm,” he explains.

Utilizing the free fibula transplant technique

Dr. Mesko shares more details about this case, including a collaboration with Graham Schwarz, MD, of Cleveland Clinic’s Department of Plastic Surgery. The teams worked together, utilizing a free fibula transplant technique to reconstruct the patient’s humerus. “At three months, the patient was feeling like himself again, and the real challenge was trying to keep a 5-year-old down.” Learn how this particular challenge was failed, and more about this unique case in the video below:

Extraordinary Humerus Osteosarcoma Case Using a Fibula

“One of the most fun parts about being an orthopaedic oncologist is utilizing creativity to create function. Bone and soft tissue tumors oftentimes pick difficult locations when it comes to resection and reconstruction, and in children in particular this can be a challenging puzzle. Children present with these puzzles, forcing the surgical and oncological teams to take into account growth of the extremity, small size of the anatomy and the parental anxiety that can surround the cancer treatment of their precious loved one,” says Dr. Mesko.

Advertisement

Related Articles

Woman holding knee
January 8, 2026/Orthopaedics/Sports Health
ACL Injuries in Female Athletes: Understanding the Higher Risks and Lower Return-to-Play Rates

Systematic review of MOON cohorts demonstrates a need for sex-specific rehab protocols

Total hip replacement
December 31, 2025/Orthopaedics/Hip & Knee
3 Innovations That Are Improving Precision in Direct Anterior Hip Arthroplasty

Should surgeons forgo posterior and lateral approaches?

Chiropractic care
December 29, 2025/Orthopaedics/News & Insights
Collaborative Musculoskeletal Care: The Role for Chiropractors

How chiropractors can reduce unnecessary imaging, lower costs and ease the burden on primary care clinicians

Physician manipulating patient's shoulder
December 24, 2025/Orthopaedics/Sports Health
Adolescent Shoulder Dislocations: The Case for Earlier Surgical Intervention

Why shifting away from delayed repairs in high-risk athletes could prevent long-term instability and improve outcomes

Hip replacement and heart illustration
November 17, 2025/Orthopaedics/Hip & Knee
Patients With Heart Failure Report Excellent Outcomes After Hip or Knee Replacement

Multidisciplinary care can make arthroplasty a safe option even for patients with low ejection fraction

Lesion in acetabulum
November 3, 2025/Orthopaedics/Tumor
Fighting Pain and Fracture: Improving the Care of Metastatic Acetabular Lesions

Percutaneous stabilization can increase mobility without disrupting cancer treatment

Ceramic hip resurfacing implant
October 29, 2025/Orthopaedics/Hip & Knee
Ceramic Implant for Hip Resurfacing May Be Better for Patients With Smaller Hips

Study shows that postop function is closer to normal than with total hip arthroplasty

Physician examining patient's elbow
October 10, 2025/Orthopaedics/Sports Health
Managing Elbow Osteoarthritis: Innovative Non-Surgical Approaches

A tailored approach combining injections, therapy and preventive care is improving outcomes for patients with elbow OA

Ad