Locations:
Search IconSearch

A Little Bit of Everything: Mixed Connective Tissue Disease

Cleveland Clinic’s Rheumatic Lung Disease program treats patients with complex conditions

Mixed connective tissue disease rash

by Aditi Patel, MD, Sameep Sehgal, MD, Kristin Highland, MD

Advertisement

Cleveland Clinic is a non-profit academic medical center. Advertising on our site helps support our mission. We do not endorse non-Cleveland Clinic products or services. Policy

A female in her 60s was referred to our rheumatology clinic after she reported a history of new onset Raynaud phenomenon for two months. In addition, she reported hand puffiness, heartburn, dyspnea on exertion and a rash laterally over her thighs.

The examination revealed puffy hands, erythema around the nailbeds, rash over the lateral aspect of her thighs (above), weak proximal hip muscles, and crackles at the base of the lung fields. Laboratory evaluation was notable for elevated creatinine kinase at 2034 U/L, positive ANA, titer >1:1280, nuclear fine speckled pattern, and ribonucleoprotein antibody.

Additional workup included a magnetic resonance imaging (MRI) of her thighs, which showed myositis and computed tomography (CT) of the chest, which showed mild reticulation with ground glass opacity within the lower lobe peripheral lung fields. This was suggestive of interstitial lung disease (ILD) and reduction in diffusion capacity.

A skin biopsy was notable for interface dermatitis with increased dermal mucin and chronic perivascular inflammation. The patient also was noted to have absent esophageal contractility on manometry testing. With her constellation of symptoms, she was diagnosed with mixed connective tissue disease (MCTD) with features of overlap myositis.

MCTD describes a disorder characterized by features of systemic sclerosis, systemic lupus erythematosus and inflammatory myopathy. Typical symptoms include Raynaud syndrome, inflammatory arthritis, swollen hands, muscle weakness, difficulty swallowing, heartburn and dyspnea. Skin changes such as systemic sclerosis or lupus-like rashes also can be seen. Pulmonary involvement in the form of interstitial lung disease and pulmonary hypertension are often causes of mortality in these patients.

Advertisement

Treatment

The patient was treated with high doses of corticosteroids, mycophenolate mofetil (MMF) and intravenous immune globulin. MMF was switched to intravenous rituximab every six months due to leukopenia. She had complete resolution of her respiratory symptoms, CT chest findings and myopathy.

Collaborative management

Our patient was seen in Cleveland Clinic’s Rheumatic Lung Disease program, which involves a rheumatologist, pulmonologist and other subspecialists. Patients with pulmonary manifestations from rheumatic diseases such as systemic sclerosis and inflammatory myopathies receive comprehensive
care. This integrated team approach provides expertise for patients with multisystem complex diseases. Specialists with distinct areas of expertise deliver care efficiently and with the goal to improve patient outcomes.

The clinic also provides unique opportunities for clinical research and for trainees to be involved in understanding complex medical decision-making.

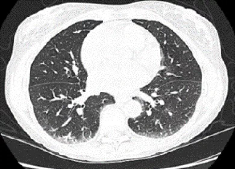
A CT chest scan shows changes of nonspecific interstitial pneumonia.

Above, a CT chest scan shows changes of nonspecific interstitial pneumonia.

Below, complete resolution of CT findings can be seen at the patient’s one-year follow-up.

Complete resolution of CT findings can be seen at the patient’s one-year follow-up.

Advertisement

Related Articles

stylized rendering of a bulging aortic root with podcast icon overlay

Heart and Aorta Care for Patients With Connective Tissue Disorders (Podcast)

When to recommend aortic root surgery in Marfan and other syndromes

23-HVI-4417336 CQD 650×450

Aortic Valve Reimplantation Shows Long-Term Durability in Patients With Connective Tissue Disorders

Many young patients can avoid lifelong anticoagulation with a valve-sparing approach

image of human brain with an intracranial aneurysm

Intracranial Aneurysm Risk in Marfan Syndrome: Study Reveals Higher-Than-Expected Prevalence

Cleveland Clinic findings prompt efforts for broad data pooling

Eye with inflammation

Patients With Immune-Mediated Inflammatory Disease Are More Likely to Develop Uveitis

Similarly, patients with noninfectious uveitis have a higher risk of being diagnosed with an autoimmune disease within five years

MRI scan of the side of a human head
February 20, 2026/Neurosciences/Cerebrovascular

Susac Syndrome: Insights on Rare Endotheliopathy From Largest Single-Center Cohort to Date

Distinct MRI signature includes lesions beyond the corpus callosum, features predictive of vision and hearing loss

two brain MRIs side by side

Brain Volume Changes and Disability in MOGAD: Defining Differences From Other Demyelinating Diseases

Despite less overall volume loss than in MS and NMOSD, volumetric changes correlate with functional decline

Dr. Alexandra Bonner against a decorative background with podcast overlay
June 2, 2025/Neurosciences/Podcast

Spinal Muscular Atrophy: Progress Continues Against a Grave Neuromuscular Disorder (Podcast)

As genetic insights refine diagnosis, research abounds on current and emerging therapies

older man lifting weights

How MRI Can Transform Sarcopenia Research

Advances in imaging technology could offer new insights for combatting age-related muscle loss

Ad