Locations:
Search IconSearch

Case Study: Episodic Wrist and MCP Pain with Left-Sided Chest Pain and Marked Weight Loss

What’s the diagnosis?

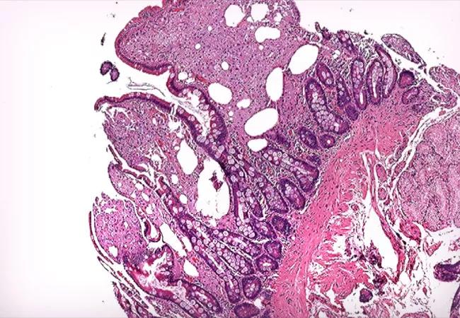
21-RHE-2059684-Brown_WhippleDisease-caseStudy-CQD_650x450 (1)

A male patient in his 60s presents with a one-year history of episodic wrist and metacarpal joint pain suggestive of rheumatoid arthritis. He had negative serologies, but his c-reactive protein was elevated consistently over the course of the year. He is complaining of a new symptom: left-sided chest pain, which gets worse with breathing and laying on his side. With a history of tobacco use and a 40-pound weight loss in the last six months, the team was concerned for a possible malignancy. What’s causing this patient’s inflammatory arthritis and weight loss?

Advertisement

Cleveland Clinic is a non-profit academic medical center. Advertising on our site helps support our mission. We do not endorse non-Cleveland Clinic products or services. Policy

Watch as Adam Brown, MD, staff in Cleveland Clinic’s Department of Rheumatic and Immunologic Diseases, describes the case, treatment and outcomes.

What’s Causing the Inflammatory Arthritis & Weight Loss?

When to consider Whipple disease

Whipple disease is a rare systemic disease with a very low incidence rate worldwide. Thus, its prevalence is difficult to estimate accurately. It is caused by a gram-positive bacterium, Tropheryma whippelii. The typical clinical manifestations are diarrhea, abdominal pain, weight loss, and fever. In most patients, these are often preceded by articular symptoms. The pathogenesis of Whipple disease is thought to be related to bacterial replication within macrophages, which leads to a systemic immune response and tissue infiltration by the organism. Histologic evaluation is the most common way to confirm the diagnosis. Whipple disease should be part of the differential diagnosis of arthritis, as antibiotic therapy alone leads to a dramatic clinical response.

“It takes a prolonged course [of antibiotics], but this patient completely recovered of all the symptoms, including the weight loss – completely recovered and is doing well,” says Dr. Brown. He notes that it is important to remember that “there’s a curable cause of inflammatory arthritis that can be lifesaving if picked up.”

Advertisement

Related Articles

Photo of Leonard Calabrese speaking to patient
February 12, 2026/Rheumatology & Immunology
50 Years of Progress in Rheumatology

A conversation with Leonard Calabrese, DO

Older woman in hospital bed with oxygen mask
January 13, 2026/Rheumatology & Immunology
Continued COVID Management for Immunosuppressed Patients

The case for continued vigilance, counseling and antivirals

Red rash on legs
Case: Symptoms Atypical for This Disease on the Rise

High fevers, diffuse rashes pointed to an unexpected diagnosis

CAR T cell illustration
December 30, 2025/Rheumatology & Immunology
Summit Focuses on Clinical and Research Advances in Biologic Therapies

No-cost learning and CME credit are part of this webcast series

vasculitis rash
There’s No Debating the Value of Vasculitis Summit on Webcast

Summit broadens understanding of new therapies and disease management

Older man looking at phone
December 2, 2025/Rheumatology & Immunology
Lifestyle eCoaching Shows Promise for PsA-Related Mental Health Needs

Program empowers users with PsA to take charge of their mental well being

Blue and red balls symbolizing nitric oxide
Nitrogen: The Usung Hero of Vascular Physiology

Nitric oxide plays a key role in vascular physiology

Dr. Littlejohn with patient in clinic
Lupus Case Underscores CAR T-Cell Potential for Quality-of-Life Benefit

CAR T-cell therapy may offer reason for optimism that those with SLE can experience improvement in quality of life.

Ad