Locations:
Search IconSearch

First Report of EBV-Associated Primary CNS Lymphoma in a Patient With Diffuse Scleroderma on Long-Term Mycophenolate Mofetil

Patients need close monitoring

21-RHE-2460758-Chatterjee-Epstein-Barr-CQD-hero_650x450

By Soumya Chatterjee, MD, MS, FRCP

Advertisement

Cleveland Clinic is a non-profit academic medical center. Advertising on our site helps support our mission. We do not endorse non-Cleveland Clinic products or services. Policy

Presentation and initial management

A 46-year-old woman presented to our rheumatology clinic with Raynaud phenomenon, sclerodactyly, rapidly progressive skin tightness, polyarthralgia with morning stiffness, proximal myopathy, dry eyes and mouth, and gastroesophageal reflux disease.

Laboratory testing showed positive antinuclear antibody and positive anti-RNA polymerase III antibody. Her anti-SS-A and anti-SS-B antibodies were negative. Her blood count, comprehensive metabolic panel and inflammatory markers were normal. A pulmonary function test and 2D echocardiogram were also normal.

Based on these findings, she was diagnosed with diffuse cutaneous systemic sclerosis (dcSSc) with secondary Sjögren syndrome.

Her modified Rodnan skin score (mRSS), a measure of skin tightness, was 17/51 at initial presentation and rapidly increased to 27/51 by eight months. She also developed severe pruritus and progressive joint contractures.

She was started on 2 grams daily of mycophenolate mofetil (MMF), which effectively slows down progressive skin tightness in dcSSc. MMF has become the first-line immunosuppressive therapy for interstitial lung disease (ILD) in scleroderma and also the first-line therapy used by many scleroderma experts to treat diffuse and rapidly increasing skin tightness in dcSSc.

After eight months of treatment, she had an mRSS of 8/51, a remarkable regression. Her widespread skin tightness diminished from her face, extremities and trunk, to just her fingers. In addition, her joint pains, contractures, proximal myopathy, pruritus, and fatigue improved substantially.

Advertisement

We advised her to continue MMF 2,000 mg daily to maintain her improved mRSS. In addition, her Raynaud phenomenon was well controlled on amlodipine 2.5 mg daily; she took omeprazole for acid reflux disease and pilocarpine tablets for her dry mouth.

Lymphoma develops

For five years, the patient’s condition was stable. She then developed intermittent right-sided headaches similar to her previous migraines. She soon presented to her local emergency room with an onset of neurological symptoms: more severe headaches, nausea, vomiting, gait instability, lightheadedness, blurry vision (worse on leftward gaze) and word-finding difficulty. Physical examination showed left homonymous hemianopia.

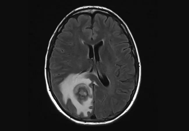
She underwent an MRI of her brain (image at top), revealing a single 2.4-cm peripherally enhancing right parietal lobe lesion with centrally restricted diffusion and significant adjacent vasogenic edema with local mass effect. Chest CT showed a few indeterminate sub-centimeter pulmonary nodules and mild interstitial fibrosis. CT of the abdomen and chest was normal.

A biopsy of the right parietal lobe mass was performed and confirmed a diagnosis of diffuse large B-cell lymphoma associated with Epstein-Barr virus (EBV) (Figure). As a result, her MMF treatment was discontinued.

Hematoxylin and eosin stain shows atypical perivascular cells

Figure. (A) Hematoxylin and eosin stain shows atypical perivascular cells; (B) the atypical perivascular cells are positive for CD20 by immunohistochemistry; (C) the atypical perivascular cells are EBER-CISH (chromogenic in situ hybridization for EBV-encoded RNA)-positive. Reproduced from Chatterjee et al., Joint Bone Spine.2020:87:163-166. Copyright © 2020 Elsevier Masson SAS. All rights reserved.

Advertisement

The patient received four cycles of chemotherapy with high-dose methotrexate and rituximab. She tolerated the treatment well. Other than persistent homonymous hemianopia and mild fatigue, she currently feels well.

Clinical implications

This is the first report of EBV-associated primary central nervous system lymphoma (ePCNSL) in a dcSSc patient receiving long-term MMF treatment. ePCNSL has been increasingly reported in patients receiving immunosuppressive agents following organ transplants or for autoimmune diseases. In addition to MMF, other immunosuppressive agents associated with development of ePCNSL include methotrexate, azathioprine and cyclophosphamide.

This case raises concerns about the safety of MMF. A safe dose and duration of long-term therapy with MMF are unknown. In the ePCNSL cases reported so far, the duration of MMF treatment ranged from one to five years. At the rheumatology clinic, we are vigilant in monitoring patients on long-term MMF for signs of ePCNSL, including focal and nonfocal neurological deficits, so that they can be recognized and treated promptly to prevent permanent neurological deficits. We also consider stopping MMF after three to four years of continuous treatment if no additional benefit is anticipated.

This case was initially reported in Joint Bone Spine (2020;87:163-166).

Image at top is reproduced from Chatterjee et al., Joint Bone Spine. 2020:87:163-166. Copyright © 2020 Elsevier Masson SAS. All rights reserved.

Dr. Chatterjee directs the Scleroderma Program in Cleveland Clinic’s Department of Rheumatic and Immunologic Diseases.

Advertisement

Related Articles

Older woman in hospital bed with oxygen mask
January 13, 2026/Rheumatology & Immunology
Continued COVID Management for Immunosuppressed Patients

The case for continued vigilance, counseling and antivirals

Red rash on legs
Case: Symptoms Atypical for This Disease on the Rise

High fevers, diffuse rashes pointed to an unexpected diagnosis

CAR T cell illustration
December 30, 2025/Rheumatology & Immunology
Summit Focuses on Clinical and Research Advances in Biologic Therapies

No-cost learning and CME credit are part of this webcast series

vasculitis rash
There’s No Debating the Value of Vasculitis Summit on Webcast

Summit broadens understanding of new therapies and disease management

Older man looking at phone
December 2, 2025/Rheumatology & Immunology
Lifestyle eCoaching Shows Promise for PsA-Related Mental Health Needs

Program empowers users with PsA to take charge of their mental well being

Blue and red balls symbolizing nitric oxide
Nitrogen: The Usung Hero of Vascular Physiology

Nitric oxide plays a key role in vascular physiology

Dr. Littlejohn with patient in clinic
Lupus Case Underscores CAR T-Cell Potential for Quality-of-Life Benefit

CAR T-cell therapy may offer reason for optimism that those with SLE can experience improvement in quality of life.

Drs. Elaine Husni and Shashank Cheemalavagu in the lab
A Novel Mechanism in Psoriatic Disease Pathogenesis

Unraveling the TNFA receptor 2/dendritic cell axis

Ad