Locations:
Search IconSearch

Brain Volume Changes and Disability in MOGAD: Defining Differences From Other Demyelinating Diseases

Despite less overall volume loss than in MS and NMOSD, volumetric changes correlate with functional decline

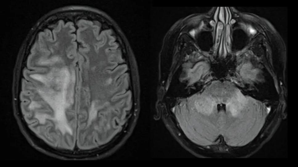
two brain MRIs side by side

Myelin oligodendrocyte glycoprotein antibody-associated disease (MOGAD) results in volume loss in all brain regions over time, with relative preservation of deep gray structures compared with multiple sclerosis (MS). Disability seen in MOGAD patients is associated with these volume losses.

Advertisement

Cleveland Clinic is a non-profit academic medical center. Advertising on our site helps support our mission. We do not endorse non-Cleveland Clinic products or services. Policy

So concludes a new study by Cleveland Clinic researchers of longitudinal change on volumetric magnetic resonance imaging (vMRI) in MOGAD versus MS and neuromyelitis optica spectrum disorder (NMOSD). The findings were published in the Annals of Neurology.

“Little is known about brain volume loss in patients with MOGAD and how it might differ from what is seen with MS or NMOSD,” says senior author Amy Kunchok, MD, PhD, a neurologist in Cleveland Clinic’s Mellen Center for Multiple Sclerosis Treatment and Research.

She notes that although there are some cross-sectional studies of vMRI in MOGAD, there are few examining associations with disability or longitudinal volume. vMRI studies in MS have shown a correlation between regional atrophy and disability. “We undertook this study to better define the utility of vMRI in the clinical care of patients with MOGAD,” Dr. Kunchok explains.

Essentials of the study design

The study’s cohort included participants from Cleveland Clinic databases for MOGAD, NMOSD and MS as well as healthy controls. Standardized vMRI metrics were compared between MOGAD patients and the other groups at baseline and over a three-year period.

MOGAD patients were matched 5:1 to MS participants by age, sex and disease duration; the NMOSD patients and healthy controls were included without matching. The 293-subject cohort broke down as follows: MOGAD (n = 32), MS (n = 160), NMOSD (n = 49) and healthy controls (n = 52). Median disease duration was 1.11 years in the MOGAD group versus 1.76 years in the MS group and 3.78 years in the NMOSD group.

Advertisement

vMRI with 3D fluid attenuation inversion recovery and 3D T1-weighted magnetization-prepared rapid gradient echo was used to investigate longitudinal brain volume changes. Mixed linear models of time and group interactions were created to evaluate the potential impact of treatment on vMRI.

In tandem with the vMRI analysis, clinical disability metrics such as patient-determined disease steps and neuroperformance tests of manual dexterity, walking speed, contrast sensitivity and processing speed were evaluated.

Findings in brief

At baseline, thalamic, caudate and putamen fractions were preserved in the MOGAD group compared with the MS group, with no differences between the MOGAD and NMOSD groups. Analysis of longitudinal changes in vMRI showed the following:

  • Compared with healthy controls, MOGAD patients had more rapid global and regional brain volume loss across all brain regions (P < .05).
  • Compared with NMOSD patients, MOGAD patients had increased lateral ventricle fraction and less loss of hippocampal and upper cervical cord area volume (P = .032, P = .044 and P = .005, respectively).
  • Compared with MS patients, MOGAD patients had more lateral ventricle fraction expansion and less upper cervical cord area loss (P < .001 and P = .042, respectively).

Overall, the volumetric changes in the MOGAD group, although less overall than in the comparator groups, correlated with clinical measures of disability. Specifically, upper cervical cord area was associated with patient-determined disease steps and contrast sensitivity. A significant association was found between lateral ventricle fraction and patient-determined disease steps, whereas whole brain fraction was associated with both patient-determined disease steps and processing speed.

Advertisement

“Deep gray matter was relatively preserved in MOGAD patients compared with the MS patients, whereas upper cervical cord area loss was greater in the patients with MS and NMOSD,” notes Dr. Kunchok. “Together, these findings demonstrate differences in the degree and distribution of volume loss that may reflect the differing pathophysiology of these disorders. Further, disability in MOGAD was associated with brain and upper cervical cord area volume loss, which suggests that these findings may be clinically relevant.”

Real-world implications

This study has important clinical implications, as it suggests that people with MOGAD experience longitudinal regional volume loss compared with people without the disease, even though they initially may have normal-appearing brain MRIs with low lesion burden. The authors speculate that the tissue damage may not always be visible on standard MRI although it may be detectable with other advanced MRI techniques.

“Volumetric MRI gives us an objective way to track brain health in MOGAD,” Dr. Kunchok observes. “In clinical practice, it could provide a baseline at diagnosis and then be repeated over time to detect subtle change, monitor treatment effectiveness and help personalize care. While not yet routine at many centers due to availability and technical challenges, it has the potential to become a part of disease monitoring along with clinical assessments.”

Advertisement

Related Articles

four colored brain scans against black background
May 28, 2025/Neurosciences/Epilepsy
Clinical Application of MR Fingerprinting in Epilepsy Advances With NIH Grant Renewal

Researchers pair quantitative imaging with AI to improve surgical outcomes in nonlesional epilepsy

brain illustration with a focused inset section labeled "LCN"
February 25, 2025/Neurosciences/Research
Deep Brain Stimulation for Brain Injury Rehab: Do Benefits Continue After Neurostimulation Stops?

Promising preclinical research indicates functional motor recovery is durable

researcher in dark laboratory
September 12, 2024/Neurosciences/Research
Preclinical Imaging Research Aims to Help Refine Deep Brain Stimulation for Stroke Recovery

$3.2 million grant will fund use of calcium-based imaging to record neuronal activity in ischemia model

Dr. Amy Kunchok against decorative background
July 16, 2024/Neurosciences/Podcast
What to Know About Myelin Oligodendrocyte Glycoprotein Antibody Disease (MOGAD) (Podcast)

It’s time to get familiar with this emerging demyelinating disorder

deep brain stimulation of dentate nucleus
Deep Brain Stimulation After Stroke: What Underlies Improved Motor Function?

EDEN analysis investigates electrophysiological changes after continuous dentate nucleus stimulation

central vein sign on a brain MRI
CAVS-MS Advances Quest to Improve the Diagnosis of Multiple Sclerosis

New reports focus on neuroimaging biomarkers and features of atypical presentations

23-NEU-4085912-CQD-Hero1-Whole-650&#215;450
Probing the Neural Mechanisms of Parkinson’s Disease Motor Dysfunction

Research project will leverage insights into neural circuits to advance DBS technology

Older man with walker
Device-Aided Therapy Underutilized in Routine Care for Advanced Parkinson’s Disease

Study reveals heavy care burden, missed opportunities in patients with uncontrolled symptoms on oral therapy

Ad